Что собой представляет удвоение почки
Удвоенная почка имеет значительно большую длину по сравнению с нормальной. Как и другие аномалии развития мочеобразующих органов, этот порок у женщин встречается втрое чаще, чем у мужчин. Эмбриональная структура почки иногда бывает сохранена даже у взрослого человека. Нижняя половинка удвоенного органа во всех случаях крупнее верхней. Расположены такие почки на своём обычном месте.
Встречается как полное, так и неполное удвоение. В первом случае каждая из половинок имеет собственный мочеточник и лоханочно-чашечную систему. Лоханки размещены одна над другой и, несмотря на то, что их объединяет перешеек из соединительной ткани, между собой не сообщаются.
При полном удвоении каждая половина почки имеет свою чашечно-лоханочную систему и собственный мочеточник
Дополнительный мочеточник бывает полностью отделён от основного, в этом случае оба они соединены с мочевым пузырём обособленно и имеют каждый своё устье. В этой ситуации говорят о полном удвоении этих органов. Устье нижней половинки всегда расположено на пузыре выше, чем устье верхней.
Однако возможно и неполное удвоение мочеточников, когда они в каком-либо месте соединяются в одно русло и заканчиваются в мочевом пузыре общим устьем. Чаще всего слияние происходит на участках физиологического сужения, но может быть и на любом отрезке ствола. Даже при сохранённой анатомической проходимости места соединения мочеточников наблюдается нарушение пассажа мочи на этом сегменте;
в таком случае страдает верхняя половина почки. Отток урины из верхней лоханки затрудняется потому, что её мочеточник сливается с мочеточником нижней под острым углом; это задерживает непрерывный поток биологической жидкости и отчасти способствует гидронефротическому изменению этого отдела удвоенной почки (чрезмерному расширению и растягиванию его полых частей).
На всей своей протяжённости основной и дополнительный мочеточник могут один-два раза перекрещиваться. Бывает, что один из них заканчивается слепо либо открывается вне мочепузырного треугольника: в заднюю часть уретры, в кишечник, в шейку мочевого пузыря, кроме того, у мужчин — в семенной пузырёк или в семявыносящий проток, а у представительниц женского пола — в матку или в вагину.
Каждая половинка полностью двойной почки, с точки зрения анатомии и физиологии, является самостоятельным органом. Однако её нижняя лоханочно-чашечная система сформирована нормально, а верхняя — отстаёт в развитии. Изредка между ними имеется разделительная борозда, но обычно она практически незаметна.
Неполная форма аномалии представляет собой удвоение паренхимы и сосудистой сети органа при нормальной численности лоханок и чашек.
На схеме неполного удвоения почки цифрами отмечены: 1 — паренхимы; 2 —крупные кровеносные сосуды; 3 — лоханка
Снабжение кровью обеих половин почки осуществляют две артерии. Обращение лимфы в каждой части удвоенного органа тоже раздельное. Диаметр питающих верхнюю и нижнюю часть почки артерий пропорционален объёму снабжаемой ими плоти.
Удвоения почек и мочеточников встречаются в различных комбинациях
Удвоение почки, или дубликация почки, представляет собой аномалию, при которой одна почка имеет две лоханки и два мочеточника. Врачи предупреждают, что это состояние может привести к различным осложнениям, включая инфекции мочевых путей, камни в почках и даже почечную недостаточность. При отсутствии должного лечения риск развития этих заболеваний значительно возрастает.
Специалисты рекомендуют регулярные обследования для мониторинга функции почек и выявления возможных осложнений на ранних стадиях. Важно также обратить внимание на профилактические меры, такие как поддержание водного баланса, соблюдение здорового образа жизни и своевременное лечение инфекций. В случае выявления удвоения почки, врач может назначить индивидуальный план лечения, который может включать медикаментозную терапию или, в некоторых случаях, хирургическое вмешательство. Забота о здоровье почек и регулярные консультации с врачом помогут избежать серьезных последствий.
Проявление симптоматики
Строение удвоенной почки
Удвоение почки не имеет характерных особенностей. Многие люди живут с такой аномалией и не наблюдают никаких симптомов. Если же аномалия проявляет себя, то, скорее всего, в дальнейшем последуют такие осложнения, как воспалительные процессы, обратный ток мочи из мочеточника, постоянная задержка мочи или ее накопление в области лоханки.
Часто именно верхняя половина почки является недоразвитой. Такой ее вид характерен также для дисплазии почки. Образование паренхиматозной почечной дисплазии со сбоями уродинамики (когда происходит расщепление мочеточника) способствует развитию аномалии в виде удвоения почки. В этом случае наблюдаются следующие симптомы:
- болевой синдром в поясничной части;
- повышение температуры;
- мутный оттенок мочи;
- дискомфорт при мочеиспускании;
- постоянные головные боли;
- слабость, тошнота, рвота.
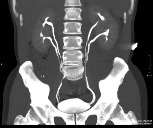
Во время УЗИ специалист может догадаться о раздвоении почек только в том случае, если он распознает две самостоятельные чашечно-лоханочные системы. Чтобы подтвердить предположение, врачи отправляют пациента на цистоскопию или на восходящую урографию. В ходе цистоскопии специалист способен рассмотреть устье мочеточников.
При удвоении почки их будет два. Если удвоение произошло с правой почкой, два мочеточника будут входить в мочевой пузырь. Восходящая урография основывается на введении в организм красящего пигмента, который отражается на рентгене. На снимке врач может полностью разглядеть чашечно-лоханочную систему.
Удвоение почки закладывается и развивается во внутриутробном состоянии плода в матке матери. Заболевание связано в первую очередь с влиянием на организм тератогенных факторов и передачей аномалии от родителей в виде генетической наследственности. К тератогенным факторам можно отнести следующие явления:
- употребление матерью во время ношения плода гормональных препаратов;
- получение большое количество ионизирующего облучения во время беременности;
- нехватку необходимых для развития ребенка витаминов;
- нехватку полезных минеральных компонентов.
Данные факторы способны нарушить генный аппарат неродившегося ребенка, что приведет к развитию разнообразных аномалий, одной из которых и является удвоение почки.
Типичные симптомы которые указали бы на удвоение почки, отсутствуют. Порок часто протекает бессимптомно до появления изменений в органах.
Тогда возникают общие признаки: увеличение температуры тела, быстрая утомляемость, отеки.
Человека может беспокоить также боль в поясничной области, цефалгии, дискомфорт при мочевыделении, тошнота, рвота, изменение артериального давления.
Люди с атипичным строением органа более подвержены разным заболеваниям мочеполовой системы, которые часто перерождаются в хронические.
Удвоение правого органа вследствие физиологических особенностей расположения реже отягощается сопутствующими патологиями.
При полном удвоении намного чаще диагностируется нефролитиаз. Аномальное формирование органа может становится причиной пиелонефрита, нефроптоза, туберкулеза, доброкачественных или злокачественных новообразований, гидронефроза.



Признаки удвоения почки
Одна из самых частых аномалий мочевыделительной системы – удвоенная почка. Удваивается обычно только одна из почек, ее размер начинает превосходить размер обычного органа человека, и часто она разделена на дольки. Обычно выделяют верхнюю и нижнюю доли удвоенного органа, которые разделены паренхиматозной перегородкой.
Нижняя половина, как правило, размером больше верхней. Хотя эти две доли и составляют одну целую, пусть и сдвоенную, но у каждой из этих частей есть отдельный мочеточник. Они проходят каждый отдельно и оканчиваются собственным устьем в самом мочевом пузыре. Иногда один из каналов мочеточника впадает в другой канал. Из-за этого получаются две самостоятельные почки, вместо одной.
При неполном удвоении чашечно-лоханочная (полостная) система бывает только одна на ту долю удвоенной почки, которая больше по размеру. Еще в раздвоенной почке может быть видима дольчатость, и кровь к ней поступает по 2 отдельным почечным артериям, хотя при нормальном развитии поступление крови осуществляется по одной почечной артерии.
Такое раздвоение почки у ребенка является самым частым врожденным отклонением мочевыделительной системы. Хотя эта аномалия и не является опасной для жизни человека, но часто является первопричиной множества других болезней. Вообще удвоение этого органа является одним из наиболее распространенных диагнозов аномалий почек – 10,4%. По статистике она встречается в 2 раза чаще у женщин, чем у мужчин. Бывает односторонней – 89% случаев или двусторонней – 11%.

Удвоение почки — это аномалия, которая может вызвать множество вопросов и опасений. Многие люди, узнав о своем диагнозе, начинают искать информацию о возможных последствиях и методах лечения. Важно понимать, что удвоение почки само по себе не всегда является причиной серьезных проблем. Однако оно может привести к осложнениям, таким как инфекции, камни в почках или даже высокое кровяное давление. Правильное лечение зависит от индивидуальных особенностей пациента и может включать наблюдение, медикаментозную терапию или хирургическое вмешательство в случае осложнений. Профилактика заболеваний почек включает в себя здоровый образ жизни, регулярные медицинские осмотры и контроль за состоянием здоровья. Люди, столкнувшиеся с этой проблемой, отмечают важность своевременной диагностики и консультации с врачом, чтобы избежать возможных осложнений и сохранить здоровье.
Диагностические меры
Диагностика аномалии осуществляется преимущественно во время процедуры УЗИ.
При полном раздвоении специалист видит две самостоятельно функционирующие чашечно-лоханочные системы.
Для подтверждения нарушений в строении органа пациента направляют на цистоскопию (изучение поверхности мочевого пузыря изнутри эндоскопом) или экскреторную урографию (рентгенологическое исследование с введением контрастного вещества).
При выполнении цистоскопии специалист может рассмотреть устье мочеточников.
Урограмма в состоянии определить структуру мочевыводящих путей.
Ретроградная пиелоуретерография помогает получить рентгенологические изображения мочеточников после инъекции специального маркера в лоханку пациента.
Удвоение органа не является заболеванием. Если у пациента нет жалоб, то ему достаточно наблюдаться у нефролога: каждый год сдавать анализ мочи и выполнять УЗИ почек.
Причины возникновения патологии
Принято считать, что этот порок обусловлен одной из двух причин:
- внутриутробным одновременным формированием обоих мочеточников из двух их зачатков;
- раздвоением единственного мочеточникового зародыша на ранних стадиях эмбриогенеза.
Первое обстоятельство объясняет возникновение неправильного положения устья какого-либо из мочеточников, а второе — раздвоение (или частичное удвоение) его ствола. У разных пациентов с одинаковой частотой наблюдаются оба типа нарушения эмбрионального развития. Иногда эта аномалия передаётся по наследству от родителей.
Диагностирование аномалии
Может ли быть, что подобное отклонение от нормы пройдет незамеченным у взрослого человека? Если у новорожденного никакого обследования не проводилось, то удвоение у взрослых диагностируют, как правило, только после того, как начался какой-нибудь воспалительный процесс. Иногда эту патологию обнаруживают случайно, при ультразвуковом исследовании другого органа, который находится рядом с почкой.
Диагностирование этой аномалии происходит при помощи цистоскопии (при этом обследовании видно три устья мочеточника вместо двух). Еще одно из обследований, которое может обнаружить наличие удвоенной почки – экскреторная урография (здесь виден увеличенный размер почки, а также третья лоханка и лишний мочеточник), а также УЗИ.
Если на УЗИ вышло отклонение от нормы при обследовании, то врач назначает еще и другие методы обследования, для подтверждения диагноза. Когда цистоскопия показывает три мочеточника, то диагноз подтверждается. Для определения размеров увеличенной почки, наличия или отсутствия третьей чашечно-почечной лоханки и третьего мочеточника врач назначает экскреторную урографию.
Без такого обследования, при отсутствии побочных заболеваний и воспалении удвоение почки никак себя не проявляет, поэтому никакие проблемы такие аномалии не несут.
По Международной классификации болезней 10-го пересмотра эта аномалия относится к врожденным аномалиям (порока развития) мочевой систему и имеет код по МКБ 10 — Q60- Q64.
Раздвоение – состояние, характеризующееся полным или неполным разделением чашечно-лоханочной системы (ЧЛС) органа на две части. Чаще всего оно поражает одну из почек, но может затронуть ЧЛС обоих органов пары.
Чтобы увидеть, как выглядит раздвоение почки, и понять, что это такое, достаточно провести несложную диагностику, например, ультразвуковую: пораженная почка выглядит как две сросшиеся и имеющие каждая свою почечную артерию.
Раздвоенная почка заметно увеличена. В случае неполного раздвоения ЧЛС остается цельной, при полном – превращается в две независимые системы с отдельными мочеточниками – основным и добавочным. Последний может самостоятельно врасти в полость мочевого пузыря или же соединиться с основным до входа в пузырь.
Существует несколько анатомических вариантов удвоения почек
Методы диагностики
Двойная почка часто обнаруживается у взрослых людей и детей при ультразвуковом сканировании. Врач-сонолог замечает наличие пары независимых друг от друга систем чашечек и лоханок в пределах одного органа. На удвоение также указывает размер, превышающий норму, наличие перемычки.
На УЗИ не всегда достаточно четко визуализируется полное удвоение, а также изменение строения мочеточника. Для их выявления проводят урографию – рентген, незадолго до которого внутривенно вводят контрастное вещество.
Для диагностики места слияния мочеточников (при удвоении полного типа) с мочевым пузырем используется метод цистоскопии. Во время процедуры пациенту вводят эндоскоп с видеокамерой через уретру, затем направляют прибор внутрь мочевика.
Симптомы
В большинстве случаев раздвоение почек никак себя не проявляет, аномалия протекает скрыто. Иногда симптомы могут маскироваться под схожие заболевания и даже вызывать их, а порок выявится при плановой диагностике. Тем не менее, существуют некоторые отличия клиники в зависимости от формы аномалии.
Обычно неполное раздвоение почки долго протекает без симптомов, в большинстве случаев патологические изменения затрагивают только наружные оболочки, а сама лоханка (куда выделяется моча) у органа одна. Отметим главные особенности:
- при частичном удвоении почки у ребенка имеется два мочеточника, которые соединяются между собой;
- обычно сосуды ветвятся внутри органа, иногда пересекаются.
При таком состоянии создаются нормальные условия для оттока мочи, серьезных функциональных нарушений не отмечается. Клиника появляется при неполном удвоении ЧЛС левой или правой почки, когда возникают застойные явления и ухудшается кровообращение.
Отметим признаки неполного удвоения правой или левой почки, которые могут иногда беспокоить пациентов:
- дискомфорт в пояснице – слабовыраженные тянущие или давящие боли, возникающие преимущественно вечером;
- нарушение диуреза – появляется частые позывы, изменяется объем и цвет мочи;
- чувство слабости и упадка сил – часто сопровождают удвоение ЧЛС почки, но этому симптому редко придают значение.
Этими же симптомами начинает проявляться полностью удвоенная почка, но при такой форме клиника быстро ухудшается. Если же орган поражен частично, отмечаются дальнейшие незначительные расстройства.
Полное удвоение почки более опасно и часто сопровождается местными и общими расстройствами. При этой форме каждый орган имеет отдельную сосудистую ветвь и свой мочеточник, но одна из единиц недоразвита и функционирует недостаточно.
Клиника может включать признаки неполного удвоения почки и дополнительные симптомы:
- Сильные боли в пояснице – иногда доходят до ощущения колик. Появляются неожиданно, могут быстро исчезать или беспокоить длительно.
- Расстройство мочеобразования – при удвоении левой или правой почки отмечается не только нарушение диуреза, но и появление примесей крови или гноя.
- Появление отеков – они говорят о нарушении вывода жидкости из организма. Пастозность наиболее выражена на конечностях.
- Проблемы с давлением – часто сопровождают удвоение правой или левой почки. Пациентов беспокоит гипертония, иногда могут появляться кризы.
Аномалии развития почек
- боли в области поясницы;
- болезненность мочеиспускания;
- почечные колики;
- повышенная температура;
- слабость;
- рвота и тошнота;
- отечность;
- гематурия (кровь в моче);
- азотемия (избыток азотистых продуктов в крови);
- гипертония.
Перечисленные симптомы могут проявляться как по отдельности, так и вместе, в зависимости от формы течения болезни.
Как правило, удвоение почек протекает бессимптомно и выявляется случайно при обследовании по другому поводу
Функциональная и анатомическая несостоятельность почки при удвоении её структурных элементов, затруднения пассажа мочи создают все условия для развития хронического воспалительного заболевания. Если же в аномальном органе не возникают подобные патологические явления, то клинические признаки и жалобы у пациента отсутствуют.
В случае полного удвоения мочеточника и расположения дополнительного устья в неестественном месте, например, у женщин в матке, во влагалище или в уретре, наблюдается характерный и весьма неприятный симптом: постоянное непроизвольное мочевыделение, при этом способность к самостоятельному акту мочеиспускания и позывы к нему сохраняются.
Если один из мочеточников удвоенной почки заканчивается не в мочевом пузыре, а, например, в уретре, то происходит постоянное подтекание мочи
Другим частым спутником удвоенного мочеточника является уретероцеле — мешковидное выпячивание его конца в мочевой пузырь. Оно обычно образуется в районе устья добавочного мочеточника верхнего отдела удвоенной почки. Эта патология может не причинять больному никаких неудобств, но если образование достигло больших размеров, оно способно давить на близлежащие крупные сосуды и вызывать отдающую в ногу боль, к тому же у женщин имитировать опущение мочевого пузыря (цистоцеле).
Уретероцеле мешает нормальному опорожнению мочевого пузыря, поэтому оно происходит двухэтапно
На стороне, противоположной удвоению, часто наблюдаются патологии и аномальные положения почки
Следует знать, что удвоение почки даже при отсутствии воспалительного процесса может стать причиной сильной боли в пояснице; это свидетельствует о наличии явлений обратного тока урины, в медицине называемых рефлюксами. Биологическими предпосылками такого нарушения уродинамики в аномальном органе являются:
- перемещение устья мочеточника вниз или вбок;
- укорочение одного или обоих стволов раздвоенного мочеточника;
- уретероцеле в припузырном отделе одного из мочеточников.
При рассматриваемой аномалии почек встречаются следующие виды рефлюксов:
- Межмочеточниковый. Заброс жидкости происходит из одного мочеточника в другой в точке их сочленения.
- Уретрально-мочеточниковый. Возникает в том случае, когда мочеточник у мужчин впадает в заднюю (глубже всего расположенную) часть уретры. При этом уретероцеле, перекрывающее шейку мочевого пузыря, у некоторых больных приводит к забросу урины в добавочный мочеточник или в два ствола сразу на стороне поражения.
- Пузырно-мочеточниковый. Обычно имеет место в мочеточнике, принадлежащем нижнему отделу удвоенной почки. У этого ствола, как правило, более короткая внутрипузырная часть. Дополнительный мочеточник открывается в пузырь ниже основного, т. е. ближе к шейке. Рефлюксу способствует уретероцеле добавочного ствола, которое повреждает замыкающий аппарат устья основного мочеточника по причине растяжения в этом месте мочевого пузыря. Наряду с возвратом урины в нижнюю часть удвоенной почки наблюдается её заброс в мочеточник верхней половины органа при расположении его устья в области шейки мочевого пузыря. Либо в оба ствола, если их отверстия смещены книзу и находятся вблизи друг от друга.
При пузырно-мочеточниковом рефлюксе моча из-за какого-либо препятствия в мочевой пузырь не попадает, а возвращается по мочеточнику обратно в лоханку, расширяя и деформируя её
Удвоенная почка намного чаще, чем нормальная, подвергается различным болезням. Это предопределено нарушениями кровообращения и уродинамики в аномальном органе.
Принципы лечения
Во многих случаях никакого лечения людям с удвоенной почкой не требуется. Если отсутствуют уродинамические нарушения, почки хорошо справляются со своими функциями, то таким пациентам требуется только регулярное наблюдение у нефролога.
При осложнениях больному показано консервативное лечение:
- пиелонефрит лечат антибиотиками и уроантисептиками;
- гидронефроз требует устранения рефлюкса хирургическим путём, предварительно болевой синдром купируют обезболивающими препаратами и спазмолитиками;
- при повышенном артериальном давлении применяют гипотензивные средства;
- при нефролитиазе назначают специальные препараты для растворения камней в зависимости от их химического состава.
При значительном нарушении работы почек, выраженном рефлюксе, гидронефрозе, частых рецидивах воспалительного процесса пациенту назначают операцию.
Геминефрэктомия показана при полном отсутствии функционирования одной половины почки. Удаляют атрофированную часть органа с рефлексирующим мочеточником.
Геминефрэктомия — это операция по удалению нефункционирующей части почки с рефлексирующим мочеточником
Если функции аномальной почки сохранены, но присутствуют явления гидронефроза, то выполняется одна из следующих оперативных реконструкций на одном или обоих мочеточниках:
- уретеро-уретероанастомоз — сочленение верхней части нормального мочеточника с добавочным;
- уретеропиелоанастомоз — рассечение и подшивание основного мочеточника к верхней лоханке почки;
- антирефлюксный уретероцистонеоанастомоз — формирования нового устья мочеточника внутри мочевого пузыря с целью обеспечения нормального тока мочи.
Второй мочеточник удвоенной почки, не имеющий физиологического выхода, может быть полностью удалён. Тактика хирургического вмешательства, сроки его выполнения и сопутствующая медикаментозная терапия каждому пациенту подбираются индивидуально.
Нефрэктомия, то есть полное удаление почки, может быть проведена только в случае крайней необходимости, если функции органа необратимо нарушены и нет возможности почку спасти.
Диетическое питание
Порок почки, если он не сопровождается какими-либо осложнениями, не требует специальной диеты. Достаточно соблюдать принципы рационального питания и отказаться от вредных продуктов. В случае присоединения воспалительного процесса или гидронефротической трансформации почки нужно придерживаться следующих правил:
- Питание должно быть дробным — небольшими порциями 4–5 раз в день. Такой режим облегчает работу мочевыделительной системы.
- При пиелонефрите показано обильное питьё — не меньше 2–2,5 литров ежедневно. При гидронефрозе, нарушении оттока мочи, повышенном артериальном давлении объём жидкости нужно снизить до 1,2–1,5 литров в зависимости от степени и характера нарушений. При острой задержке мочи и развитии нефротического синдрома с отёками жидкости в организм должно поступать не более 0,8–1,0 литра.
- Кулинарная обработка при приготовлении пищи должна быть щадящей: продукты можно отваривать, запекать, тушить.
- При отсутствии отёков количество соли не ограничивают. При остром воспалении и тяжёлом гидронефрозе ежедневное употребление соли желательно снизить до 2–3 г.
- Алкоголь употреблять нельзя. Распитие спиртных напитков пагубно влияет весь организм, а состояние нездоровых почек может значительно ухудшиться, так как этанол в крови затрудняет процесс выведения почками продуктов белкового обмена и других токсических веществ.
Жареное мясо, острые овощи, приправы, алкоголь — всё это нужно убрать из меню при патологии почек
Из рациона больного должны быть исключены острые, маринованные, жареные и солёные продукты.
Таблица: рекомендации по питанию при патологии почек
| Что рекомендуется убрать из меню | Что должно присутствовать на столе |
|
|
При нефролитиазе диету подбирают с учётом химического состава сформировавшихся камней:
- при оксалатах: основу питания составляют овощи с исключением пищи, богатой щавелевой и аскорбиновой кислотой;
- при мочекислых камнях: применяется молочно-овощная диета с исключением продуктов, богатых пуринами (говядины, свинины, рыбы, субпродуктов, бульонов, колбасных изделий);
- при фосфатах: рекомендуются овощи, рыба, яйца, двухдневные кисломолочные продукты, крупы; убрать необходимо продукты с высоким содержанием фосфора и магния;
- при цистиновых камнях: основное меню должно состоять из овощей, фруктов, молока и круп, а исключается пища, богатая метионином и серосодержащими аминокислотами (яйца, творог, рыба, мясные продукты).
Соблюдение правильной диеты позволяет поддерживать функции аномальной почки на должном уровне, а при осложнениях добиться состояния длительной ремиссии.
Фотогалерея: продукты, рекомендованные при осложнениях удвоенной почки
При болезнях почек в рационе должны быть разнообразные крупяные блюда
При воспалении почек можно есть блюда из диетического мяса
Свежие фрукты и ягоды полезны при воспалительных процессах
При почечных патологиях можно употреблять нежирные молочные продукты
Основу рациона при болезнях почек должны составлять овощи
Причины появления двойной почки
Двойная почка обычно является врожденной патологией, по статистике девочки чаще имеют такую почку. Развитие такой аномалии начинается у ребенка еще в утробе матери. У человека причины появления такой аномалии самые многообразные:
- Радиоактивное облучение в утробе матери. Такое возможно, если работа родительницы всю беременность была на предприятии, где процесс производства связан с облучением;
- Предрасположенность по наследству. Это возможно в том случае, если у обоих родителей имелись удвоенные почки, поэтому шанс получить такую аномалию вырастают;
- Отравление лекарственными средствами, в том числе и гормональными;
- Вредные привычки (злоупотребление алкоголем, наркотиками, курение и т.д.);
- Частый авитаминоз в период беременности. В некоторых региона из-за нехватки фруктов и овощей возможна нехватка витаминов, особенно это явно сказывается на женщине в период беременности.
Конечно, это лишь некоторые причины появления такой аномалии у ребенка. Но некоторые из указанных причин возникновения этой врожденной аномалии вполне можно исключить для здоровья будущего малыша.
Профилактика
Для предотвращения порока профилактику должны вести сами родители еще до планирования ребенка – это здоровый образ жизни, занятия спортом и отказ от вредных привычек.
Если порок уже выявлен, пациент должен соблюдать определенные правила, которые предотвратят опасные последствия из-за удвоения почки:
- соблюдать диету– ограничивающую соль, специи, газировку, алкоголь и полуфабрикаты;
- исключать переохлаждения– одеваться по сезону и пользоваться средствами защиты;
- регулярно посещать врача – для предотвращения осложнений.
Программу корректирует врач, в зависимости от состояния пациента. Если не отклоняться от рекомендаций, с удвоением почки можно прожить долгую и полноценную жизнь.
Удвоение почки долгое время может протекать бессимптомно и выявляется случайно при сканировании поясничной области. Обычно доставляет неудобства двусторонний процесс или полное удвоение, при котором один из органов недоразвит и функционирует недостаточно. В этом случае назначается лекарственная терапия, при тяжелом состоянии проводится операция.
Автор: Денис Филин, врач, специально для Nefrologiya.pro
Возможна ли беременность
Естественно, что каждую молодую женщину, у которой обнаружено удвоение почек, интересует вопрос: суждено ли ей познать радость материнства? Наблюдениями врачей установлено, что да, беременность и роды при такой аномалии вполне возможны. Однако необходимо максимально полное и детальное урологическое обследование пациенток, желающих иметь ребёнка.
Знание наблюдающим врачом вида аномалии и состояния мочевыводящих органов будущей матери имеет огромное значение для предупреждения возникновения серьёзных осложнений при беременности, когда почки работают в условиях повышенной нагрузки. Нельзя не учитывать высокий риск развития пиелонефрита в этот период.
В случае когда аномалия сопровождается гидронефрозом, значительным сужением мочеточника, подтеканием мочи или иными осложнениями, требующими неотложного вмешательства, планировать пополнение семьи можно только после хирургической коррекции порока. Если удвоение почки было впервые обнаружено на фоне уже наступившей беременности, то вопрос о продолжении и ведении последней решается акушером-гинекологом совместно с урологом.
Что еще надо знать об удвоении почки
При продольном разрезе почки можно заметить, что сам орган представлен как бы двумя пластинчатыми слоями (дупликатура), которые различаются по окрасу. Верхний слой более светлый – корковый, внутренний (мозговой) – более темный. Они взаимно проникают друг в друга. Части внутреннего слоя в корковом называют «пирамидами», а части коркового слоя образуют между ними, так называемые «столбы Бертена».
У грудничка и до возраста 2-3 лет корковый слой еще не так развит, поэтому дольки неплохо определяются, т.е. почка двудольная. У взрослых эта дольчатость почти исчезает.
Паренхима выполняет важную функцию в организме – она контролирует уровень электролитов, очищает кровь. Если на УЗИ диагностируется паренхиматозная перетяжка (перемычка), которая делит орган на две части, вызывая неполное удвоение почки, то это может считаться вариантом нормы.
Иногда удвоение почки сопровождается и другими аномалиями в развитии этого органа. Например, случается развитие дистопия почки, когда орган находится не на своем месте. Перемещение или развитие такого аномального случая может быть следствием задвоения почки.
Варианты аномального расположения таковы:
- На уровне малого таза;
- В подвздошной области;
- Поясничной области;
- Внутригрудное расположение.
Возможные осложнения
Полное или неполное удвоение почки становится серьезной проблемой в большинстве случаев, так как частота осложнений достаточно высока. Объясняется такое положение анатомическими особенностями и нарушениями функционального характера: если имеется три недоразвитые почки, то это порой значительно хуже, чем отсутствие одного из органов. Две ЧЛС в сдвоенной почке хуже работают, чем одна в нормальной. Основными осложнениями, которые крайне негативно сказываются на функциональном состоянии мочевых путей, являются:
- хронический пиелонефрит на фоне застойных процессов;
- гидронефроз при нарушении нормального оттока;
- нефроптоз — из-за сдвоенности, орган больше и тяжелее;
- доброкачественное или злокачественное новообразование (как причина структурных нарушений почечной паренхимы).
Удвоение правой почки с выраженным нефроптозом встречается чаще, это связано с тем, что правосторонний орган исходно расположен ниже. В остальных случаях наиболее частыми осложнениями будут воспаление и гидронефротическая трансформация.
Прогноз
Обладатели удвоенной почки внешне ничем не отличаются от обычных людей и, если не присоединяются осложнения, могут вести обычный образ жизни. Им приходится состоять на диспансерном учёте, часто посещать уролога и время от времени проходить обследования, но это не составляет большой проблемы. В ряде случаев удвоенная почка никогда в течение жизни не побеспокоит своего носителя.
Опасность этой аномалии заключается в частом развитии у таких пациентов воспалительных заболеваний, чреватых хронической недостаточностью функции почек. Если такое случится, то сохранить жизнь человеку сможет только пересадка донорского органа.
Так как армейская служба связана не только с защитой Отечества, но и с колоссальными практически круглосуточными физическими нагрузками на организм, а при удвоении почек в любой момент могут появиться осложнения, то мало кого из юношей призывного возраста, родившихся и выросших с этой аномалией, и их матерей не волнует эта тема.
Чтобы узнать, берут ли в солдаты с таким пороком, следует обратиться к «Расписанию болезней», в котором упорядочен список заболеваний и категорий годности молодого человека к исполнению воинской обязанности в каждом конкретном случае. Именно этим документом руководствуется призывная комиссия, вынося вердикт о возможности привлечения будущего защитника родины к службе в армии.
Удвоение почек относится к нарушениям уродинамики верхних мочевых путей и имеется в списке заболеваний, перечисленных в пункте «б» статьи 72 «Расписания болезней». Поэтому призывник с данной особенностью относится к категории «В» – ограниченно годен к военной службе. Это означает, что у юноши имеется неизлечимое заболевание с умеренным расстройством функций организма, и в соответствии с законом «О воинской обязанности и военной службе» он по состоянию здоровья подлежит освобождению от призыва в армию, но отправляется в запас.
Говоря проще, в случае военных действий такой человек будет наряду со всеми остальными привлечён к исполнению солдатского долга с учётом имеющегося у него на данный момент образования и навыков. Например, он сможет трудиться на заводе по изготовлению деталей или бытовых изделий для фронта или в госпитале ухаживать за ранеными.
Во время службы в армии солдатам приходится испытывать значительные физические нагрузки, терпеть холод и жару, переносить тяжести; всё это требует крепкого здоровья и выносливости
Если молодой человек с удвоенной почкой окончил высшее учебное заведение, в котором есть военная кафедра, и готовится к защите родины в качестве офицера запаса, то тогда он будет относиться к категории «Б», то есть комиссия его признает годным к военной службе с незначительными ограничениями. Вопрос принадлежности этого гражданина к категории «В» решается индивидуально.
То же самое относится и к призывникам, которые идут в армию по контракту. Ведь можно обучиться такой военной профессии, благодаря которой юноша будет принимать посильное участие в защите Отечества, не перенапрягаясь физически и не рискуя своим здоровьем. Так, десантником или подводником обладателю удвоенной почки никогда не стать, но ему вполне доступна служба в войсках связи.
Если обнаружено неполное удвоение почек, прогноз обычно благоприятный. Такие пациенты находятся под пожизненным наблюдением и контролируются врачом. Если соблюдать все рекомендации, осложнений не будет.
При полном или удвоении почек с обеих сторон прогноз относительно благоприятный – при умеренной симптоматике больные могут находиться на пожизненной терапии и вести полноценную жизнь.
Полезное видео про удвоение почки
Список источников:
- Адаменко О.Б., Халепа З.А., Котова Л.Ю. Пренатальная ультразвуковая диагностика врожденных аномалий мочевыделительной системы // Детская хирургия. 2006. — №1. — С. 1316.
- Акберов Р.Ф., Михайлов М.К., Яхин М.М. и др. Лучевая диагностика заболеваний, опухолей почек, надпочечников и пороков развития мочевых путей / Казань, 2002. 196 с.
- Демидов В.Н., Пытель Ю.А, Амосов А.В. Ультразвуковая диагностика в уронефрологии / М.: Медицина, 1989. С.112.
- Демикова Н.С., Козлова С.И. Мониторинг врожденных пороков развития // Вестник РАМН. 1999.- №11.- С. 29-32.
Вопрос-ответ
Чем опасна удвоенная почка?
Это грозит развитием гидронефроза, вторичной артериальной гипертензии и выпадением компонентов мочи в осадок с образованием конкрементов (мочекаменная болезнь). Кроме того, моча – хорошая среда для развития микроорганизмов. Ее застой нередко сопровождается вторичным инфицированием – развитием пиелонефрита.
Как лечат удвоение почки?
Геминефрэктомия (ГНЭ) является «золотым стандартом» лечения при клинически проявляющемся удвоении почек. Другие хирургические вмешательства, такие как уретеропиелостомия, уретероуретеростомия, обусловливают необходимость элективного подхода и являются небезопасными для здорового сегмента почки.
Нужно ли удалять удвоенную почку?
Большинство случаев удвоения не представляют угрозу для здоровья пациента. Менее благоприятный прогноз при наличии аномалий мочеточника и мочевого пузыря, развитии хронического пиелонефрита, что чревато почечной недостаточностью и потребностью в заместительной терапии.
Какие признаки удвоения почек можно увидеть на УЗИ?
На УЗИ позволяет хорошо разглядеть почки, наполненный мочевой пузырь. В этом случае врачу удается увидеть две лоханки, что свидетельствует о почечном удвоении. Поэтому само по себе наличие лишних почек без нарушения функции ничем не грозит.
Советы
СОВЕТ №1
Регулярно проходите медицинские обследования, особенно если у вас есть предрасположенность к заболеваниям почек. Это поможет выявить проблемы на ранних стадиях и предотвратить их развитие.
СОВЕТ №2
Обратите внимание на свой рацион. Употребление достаточного количества воды и ограничение соли, белка и продуктов с высоким содержанием жиров может снизить нагрузку на почки и помочь в их правильном функционировании.
СОВЕТ №3
Избегайте самолечения и не пренебрегайте рекомендациями врача. При наличии симптомов, таких как боль в пояснице или изменения в мочеиспускании, обязательно обращайтесь за медицинской помощью.
СОВЕТ №4
Поддерживайте здоровый образ жизни: занимайтесь физической активностью, избегайте стрессов и следите за своим весом. Это поможет укрепить иммунную систему и снизить риск заболеваний почек.



















