В процессе пищеварения немаловажное участие принимает такая физиологическая жидкость, как желчь. В двенадцатиперстной кишке она способна расщеплять жиры, белки и углеводы.
Продукция физиологической жидкости происходит в печени, откуда она транспортируется в желчный пузырь. Там она накапливается, а при поступлении в организм продуктов питания происходит ее выброс в двенадцатиперстную кишку.
Нарушенные метаболические процессы и иные патологические расстройства ведут к застою желчи в желчном пузыре, что провоцирует рефлюкс, то есть переизбыток желчи в желчном мешочке выбрасывается в желудок. Это состояние могут провоцировать множественные факторы.
В нашей редакции мы поговорим о том, как вывести желчь из желудка, рассмотрим все возможные способы устранения данного патологического состояния.
Рефлюкс желчи опасен появлением тяжелых расстройств в органах пищеварительной системы.
Важная роль желчи в организме человека
Желчь, вырабатываемая печенью, жизненно необходима организму, без ее участия не могут нормально происходить процессы пищеварения. Содержащиеся в желчи кислотные элементы, расщепляют продукты, употребляемые человеком в течение дня.
В здоровом организме происходит регулярная непрекращающаяся выработка печеночного секрета, который скапливается в желчном мешочке и при необходимости выбрасывается в двенадцатиперстную кишку для дальнейшего своего функционирования. Именно в кишке происходит завершающий этап переваривания продуктов питания.
Функции желчи заключаются в следующем:
- создает условия в двенадцатиперстной кишке для уничтожения свойств пепсина (фермент желудочного сока);
- способствует расщеплению жиров и их всасыванию;
- благоприятствует усвоению жирорастворимых витаминов (А, Е, D);
- усиливает тонус тонкого кишечника, что в дальнейшем повышает аппетит;
- побуждает к выработке слизи и гормонов кишечника (холецистокинин-панкреоземин, мотилин);
- стимулирует действие ферментов (липаза, трипсин), способствующих перевариванию белков;
- активизирует процесс размножения клеток слизистого эпителия кишечника;
- производит антибактериальное действие в кишечнике, подавляющее негативное воздействие патогенных микроорганизмов.
В здоровом организме желчь непосредственно из желчного пузыря попадает в двенадцатиперстную кишку. Однако при патологических расстройствах в организме она направляется в желудок, что является предрасполагающим фактором для ослабления мышечной ткани сфинктера, контролирующего порционную транспортировку печеночного секрета в кишечник.
Забросу желчи в желудок препятствуют сфинктеры, контролирующие порционный вывод секрета.
Когда происходит рефлюкс, человек ярко ощущает сопровождающиеся при этом симптомы. Как известно в желудке содержится своя кислота, расщепляющая поступившие продукты на элементы – это соляная кислота.
Желчь в совокупности с действием соляной кислоты приводит к сильнейшему раздражению стенок желудка, это химическое соединение травмирует слизистый эпителий, что без соответствующих лечебных мероприятий неизбежно приводит к развитию:
- язв желудка;
- гастрита;
- опухолевых образований.
Важно. Своевременное оказание помощи организму снижает вероятность подобных осложнений.
Врачи отмечают, что вывод желчи из желудка требует комплексного подхода, включающего как медикаментозное лечение, так и использование народных средств. Медикаменты, такие как холеретики и спазмолитики, помогают улучшить отток желчи и снизить дискомфорт. Однако важно учитывать индивидуальные особенности пациента и наличие сопутствующих заболеваний.
Среди народных средств популярны травяные чаи, например, на основе расторопши или мяты, которые способствуют нормализации работы печени и желчного пузыря. Врачи подчеркивают, что перед использованием любых домашних рецептов необходимо проконсультироваться с врачом, чтобы избежать возможных осложнений. Таким образом, сочетание традиционной и альтернативной медицины может быть эффективным, но требует осторожности и профессионального контроля.
Использование лекарственных препаратов
Как усилить отток желчи из желчного пузыря? При очистке органа во время застоя желчи врач выписывает пациенту специальные препараты. Они помогают расширить протоки и очистить желчный пузырь от скопившейся желчи. Желчегонные средства при застое:
- Сорбит.
- Магнезия.
- Натрия тиосульфат.
Как откачивают желчь из желчного пузыря? Для этого больной должен:
- За день до проведения процедуры очистить кишечник с помощью клизмы.
- После обеда в зону печени положить грелку с теплой водой.
- Приготовить состав для тюбажа. Для этого нужно взять 2 ст. ложки сорбита и развести в 100 граммах теплой воды. Полученная смесь выпивается мелкими глотками. Также специалисты рекомендуют пить специальный желчегонный отвар из трав. Для его приготовления берут по 1 ст. ложке ромашки и кукурузных рылец, добавляют в кипящую воду на 60 минут. После варки отвар остужается до комнатной температуры и процеживается.
- На протяжении всей процедуры грелка должна продолжать находиться в области живота. Специальные дыхательные упражнения помогут активизировать процесс очистки кишечника.
- По прошествии нескольких часов пациент заметит первые симптомы очистки организма. Первая чистка при тюбаже может быть не такой эффективной, но при повторном проведении процедуры можно добиться действительно хорошего результата.
Как вывести желчь из желчного пузыря? Сорбитом разрешено проводить очистку днем. Ее следует планировать на выходные дни. Для создания очистительной смеси в термос с горячей водой добавляют 4 столовые ложки шиповника. Утром в термос также добавляют 3 столовые ложки сорбита. Полученную смесь пьют мелкими глотками в течение 15 минут.
Для хорошего эффекта процедуру следует продолжать весь день. Принимать пищу важно часто, но в небольшом количестве. В меню могут входить блюда из овощей без добавления масла и соли. После проведения тюбажа у пациента может резко ухудшиться состояние и появиться чувство слабости. Такое состояние продолжается, как правило, в течение 3-4 дней, после самочувствие нормализуется. Дневной тюбаж можно повторно провести по прошествии 5 дней.


Провокационные факторы выброса желчи в желудок
Любой патологический процесс в нашем организме всегда сопровождается при воздействии каких-либо факторов. Выбросу желчи в желудок также способствуют многие причины.
Это:
- К передавливанию двенадцатиперстной кишки приводят грыжи, полученные механическим или хирургическим путем травмы, опухоли. Постоянное давление в кишке способствует ослаблению сопротивления сфинктера, что в результате приводит к выбросу желчи из кишки в желудок.
- Дуоденит хронического характера. Любая хроническая патология, локализованная в органах ЖКТ, нарушает работу всей пищеварительной системы. На фоне дуоденита слизистая кишки воспаляется и приводит к усилению внутреннего давления.
- Период беременности у женщин. В этом случае также усиливается внутреннее давление в кишке, что обусловлено ростом плода.
- Наследственный фактор.
- Неправильное питание. Чрезмерное потребление вредной пищи (солености, копчености, жирности, острые блюда) приводит к неусвоению ее желудком. Печень тем временем начинает активизировать выработку секрета, отмечается избыточное скопление желчи в пузыре. Переполненность желчного мешочка ведет к рефлюксу печеночного секрета в желудок.
- Сон после еды. Отсутствие активности организма сразу после потребления пищи затормаживает процессы пищеварения.
- Высокие физические нагрузки.
- Потребление жидкости сразу после приема пищи.
- Злоупотребление алкогольсодержащими напитками и курение.
- Продолжительный курс приема спазмолитических лекарственных средств и миорелаксантов. Эти группы препаратов расслабляют мышечную ткань сфинктеров.
- Частые стрессы.
- Панкреатит любой формы.
- Воспалительные процессы ЖКТ и желчного пузыря.
- Непроходимость желчных протоков, в частности при диагнозе желчнокаменная болезнь, перегиб протоков, кистозные образования.
- Цирроз, туберкулез печени, гепатиты.
Застой желчи при беременности обусловлен чрезмерным давлением плода на желчные протоки и желчный пузырь.
Внимание. Длительный застой желчи приводит к тому, что получаемые организмом жиры не расщепляются и не усваиваются организмом в должном режиме. Этот процесс, в свою очередь, приводит к торможению превращения глюкозы в гликоген (энергетическое вещество, скапливаемое в клеточной ткани), как результат развивается сахарный диабет.
Неправильное питание провоцирует рефлюкс желчи.
Дополнительными причинами развития патологического процесса выброса желчи в желудок служат:
- малоактивный образ жизни;
- образование рубцовой ткани после проведенной операции по удалению желчного мешочка;
- чрезмерное потребление сладостей и жирной пищи;
- ожирение.
Не исключена вероятность рефлюкса у вполне здоровых людей, этому способствуют продолжительное, но не регулярное пребывание в стрессовых ситуациях, при единичных высоких силовых нагрузках, а также при одноразовом переедании.
Лишний вес – причина, способствующая нарушениям работы печени и желчного пузыря.
Выведение желчи из желудка — тема, вызывающая множество обсуждений среди людей, страдающих от заболеваний желчевыводящих путей. Многие обращаются к медикаментозному подходу, который включает использование препаратов, способствующих улучшению желчеотделения и нормализации работы печени. Врач может назначить холеретики или спазмолитики, которые помогают снять дискомфорт и улучшить пищеварение.
Однако наряду с традиционными методами, все больше людей интересуются средствами народной медицины. Например, отвары из расторопши, кукурузных рылец или мяты считаются эффективными для стимуляции желчеотделения. Некоторые предпочитают использовать соки, такие как свекольный или морковный, которые помогают очистить печень и улучшить общее состояние организма. Важно помнить, что перед началом любого лечения, будь то медикаментозное или народное, необходимо проконсультироваться с врачом, чтобы избежать осложнений и выбрать наиболее подходящий метод.
Как выгнать желчь из желчного пузыря
При холестазе в организме происходят изменения, которые вызывают тяжелые патологии. Чтобы их предупредить, прибегают к консервативному, физиотерапевтическому или оперативному лечению. Выбор методики определяется причинами скопления желчи в пузыре или протоках.
Аптечные препараты
Чтобы восстановить работу организма и предупредить опасные заболевания, назначается медикаментозная терапия. В нее входят лекарства, которые нормализуют отток печеночного секрета в 12-перстную кишку:
- Урсохол – ускоряет растворение холестерина, за счет чего уменьшается риск камнеобразования в пузыре;
- Хофитол – стимулирует продвижение желчи по желчевыделительной системе, защищает гепатоциты от разрушения;
- Цинарикс – стимулирует восстановление гепатоцитов и секреторную активность печени в организме;
- Одестон – ускоряет синтез печеночного секрета и его отток в кишечник, за счет чего восстанавливается работа органов ЖКТ;
- Гимекромон – усиливает биосинтез и продвижение желчных ферментов в 12-перстную кишку.
Вывод желчи из организма благотворно влияет на работу органов ЖКТ. Больные отмечают нормализацию стула, исчезновение болей в правом боку и тошноты.
Питание
Чтобы прогнать печеночный секрет из желчного пузыря, нужно правильно питаться. При холестазе и дискинезии в рацион включаются желчегонные продукты:
- овощи и фрукты после термической обработки;
- крупы (гречка, овсяные хлопья);
- семена тыквы;
- сухофрукты;
- травяные чаи;
- орехи кешью;
- белые сухарики;
- овощное рагу;
- диетическое мясо;
- артишоки;
- капуста;
- сельдерей;
- кукурузные отруби;
- цветная капуста.
Желчегонные процедуры ускоряют метаболизм в организме, устраняют запоры и симптомы интоксикации.
Домашние средства
Фитосредства из народной медицины ускоряют обменные реакции в организме, стимулируют продвижение печеночного секрета в кишечник.
Для борьбы с застоем желчи используются:
- Отвар из шиповника. 2 ст. л. сушеных плодов засыпают в термос и заливают 1 л кипятка. Настаивают 3 часа и выпивают по 100 мл до еды три-четыре раза в сутки.
- Березовый отвар. 10 г листьев заваривают в 500 мл воды. Процеженную жидкость принимают по 150 мл до приема пищи трижды в день.
- Фитосбор. В равных пропорциях смешивают сушеную перечную мяту с измельченным корнем цикория. 10 г смеси заливают 250 мл воды и проваривают 4 минуты. В течение суток выпивают по 500-600 мл отвара.
Народными средствами очищают организм не только от желчи, но и от токсинов.
Рекомендуется принимать лечебные отвары курсами по 2 недели.
Физиотерапия
Физиотерапевтические процедуры обеспечивают быстрое выведение желчи из организма. Для борьбы с болезнями желчевыделительной системы применяются:
- Аппликации парафина и озокерита – тепловая процедура, которая улучшает приток крови к печени и желчевыводящим каналам. Очищает организм от токсических веществ, восстанавливает работу органов ЖКТ.
- Фототерапия – нейтрализует желчный пигмент, который вызывает желтушность кожи. За счет снижения уровня билирубина восстанавливается обмен веществ.
- Плазмаферез – аппаратное очищение организма от ядов, которые содержатся в крови. Удаляет из плазмы токсические компоненты желчи (билирубин, холестерин).
Аппаратные методики применяются только при отсутствии острого воспаления в организме.
Физическая активность
Для стимуляции желчеотведения естественным путем прибегают к умеренным физическим нагрузкам. ЛФК, плавание, фитнес, гимнастика, занятия йогой повышают тонус мышц в организме, улучшают кровообращение в печени. За счет этого восстанавливается моторика пузыря и продвижение желчных кислот в 12-перстную кишку. К спортивным занятиям прибегают только при отсутствии острого воспаления в желчевыделительной системе.
Хирургическое лечение
Если организм самостоятельно не справляется с отведением желчи, назначают оперативное лечение. При дискинезии, холецистите и холестазе используются такие хирургические методики:
- холецистодигестивный анастомоз – формирование альтернативных путей для отведения содержимого желчного пузыря в кишечник;
- холедохостомия – непрерывное выведение печеночного секрета из желчевыводящих каналов дренажными инструментами;
- холецистэктомия – вырезание пузыря при необратимом нарушении его функций.
Если застой желчи вызван непроходимостью желчных каналов, прибегают к лазерной или ультразвуковой деструкции (разрушению) камней.

Какие могут быть осложнения?
Высокая концентрация желчи в желчном мешочке, либо при развитии каких-либо нарушений в двенадцатиперстной кишке, наступает дисфункция органов ЖКТ, как следствие появление воспалительного очага.
Если печеночный секрет в должном объеме не будет поступать в кишку, это влечет нарушением процесса расщепления продуктов. Дальше начинает развиваться негативная цепная реакция.
Попадая в двенадцатиперстную кишку, пища не усваивается и не расщепляется, что впоследствии ведет к этому же процессу и в тонком кишечнике. Получается, что вместе с калом из организма выводятся все полезные вещества и микроэлементы, необходимые для жизнедеятельности человека.
Функциональное расстройство приводит к:
- регулярной диареи;
- истощению организма;
- гиповитаминозу;
- резкому снижению массы тела;
- диспепсическим расстройствам;
- хронической усталости организма.
При частой диарее из организма выводятся все полезные вещества и микроэлементы.
При нарушении нормального выведения желчи из мешочка в организме развиваются острые и хронические заболевания органов ЖКТ.
Это:
- холангит;
- дуоденит;
- панкреатит;
- холецистит;
- холестаз;
- энтерит;
- гастрит;
- желчнокаменная болезнь;
- воспаление поджелудочной железы.
Все эти патологии сопровождаются острым болевым синдромом.
Желчнокаменная болезнь может развиваться на фоне длительного застоя желчи.
Важно. Особенную опасность развитие осложнений представляет детям и подросткам, так как их организмы не достаточно полноценно сформированы, чтобы оказывать соответствующее сопротивление негативным процессам.
Кому необходимо выводить желчь
Выведение печеночного секрета из организма показано людям, которые страдают обструкцией (сужением) желчевыводящих каналов или катаральным воспалением пузыря.
Выведение лишней желчи из организма даже в домашних условиях должно осуществляться под строгим наблюдением лечащего врача. Народная медицина в данном вопросе является лишь дополнением к комплексному лечению, которое всегда строится на медикаментозной терапии, помогающей удалить излишки жидкости из тела.
Консервативное и оперативное лечение назначается при:
- холестазе;
- желчнокаменной болезни;
- дискинезии желчевыделительных путей;
- холецистите.
Принимать желчегонные лекарства следует только после консультации гастроэнтеролога. Их нерациональное использование при наличии камней в полости пузыря чревато печеночными коликами, обострением калькулезного холецистита, перитонитом.
Типы застоя желчи
Классификация застоя желчи зависит от причины и локализации очага.
Разделяют два типа:
- Внутрипеченочный.
- Внепеченочный.
Каждый из этих типов может протекать остро либо иметь хроническую форму.
Кроме этого различают:
- Парциальный. Продукция желчи снижается.
- Диссоциальный. Отмечается застой отдельных желчных элементов.
- Тотальный. Отсутствие поступления печеночного секрета в двенадцатиперстную кишку.
Таблица №1. Типы застоя желчи, их характеристика.
| Тип застоя | Характеристика | Причины |
| Внутрипеченочный | Развивается на фоне заболеваний печени. Появлению внутрипеченочного застоя не способствует механические повреждения и новообразования извне. | Причины следующие:
|
| Внепеченочный | Обусловлен застоем желчи вследствие непроходимости желчных протоков. | Этому способствует:
|
Внутрипеченочный застой желчи в свою очередь разделяется на 3 вида:
- Клеточный. При этом виде выработка желчи продолжается, однако скапливается в пораженных клетках органа.
- Каналикулярный. Отмечается застой желчи в расширенных протоках.
- Экстралобулярный. Изменяется структура слизистого эпителия желчевыводящих путей.
Как понять, что желчь начала выходить
Застой желчи приводит к нарушению пищеварения и появлению таких симптомов:
- горечь во рту;
- быстрое насыщение;
- боль в правом боку;
- метеоризм;
- частые запоры;
- обесцвечивание кала;
- быстрая утомляемость;
- желтушность кожи;
- отсутствие аппетита и т.д.
Часть желчных компонентов выходят из организма с мочой, поэтому она приобретает темно-коричневый оттенок. При восстановлении работы желчевыделительной системы симптомы исчезают полностью или частично. Если выходит желчь из организма, на это указывают:
- регулярный стул (1 раз в 1-2 дня);
- отсутствие болей в боку;
- усиление аппетита;
- отсутствие газообразования;
- улучшение настроения;
- уменьшение желтушности кожи.
Результаты желчегонной терапии проявляются в течение 1-2 недель. Если не устранить причину холестаза, симптомы вернутся. При дискинезии желчных каналов, холецистите и холестазе рекомендуется повторять курс не менее 1 раза в 3-4 месяца. Периодическая чистка организма препятствует осложнениям и необходимости оперативного вмешательства.
Клинические проявления
Рефлюкс желчи имеет довольно стандартные специфические признаки, распознать которые не составляет особого труда. Именно поэтому появление характерных симптомов должно вызвать у человека страх за свое здоровье.
Характерные признаки рефлюкса:
- Болевые ощущения в области живота. Это не характерный рефлюксу признак, однако, он означает патологические изменения, происходящие в пищеварительной системе. При этом отметим, что рефлюксу не сопутствует отчетливая область боли.
- Изжога. Скопившаяся в желудке желчь поднимается вверх по пищеводу, что раздражает его стенки и провоцирует появление кислой изжоги. Сопровождается жжением в загрудинной области.
Изжога – специфический признак рефлюкса желчи.
- Ощущение тяжести и распирания в животе. Признак появляется вследствие внутреннего давления на органы пищеварительной системы.
- Отрыжка. Попадая в желудок, желчь провоцирует зловонные газообразования, которые выходят наружу. Как следствие появляется неприятная отрыжка, имеющая горький привкус, нередко сопровождается газами.
При рефлюксе происходит горьковатая отрыжка с газами.
- Желтый налет на языке и горькость во рту. Является следствием выхода желчи из желудка наружу.
- Желчная рвота. При чрезмерном скоплении желчи внутри желудка происходит рефлекторный выброс. Как правило, рвота появляется утром.
- Белый кал. Это признак нарушения работы печени.
- Нехарактерные урчания и бурления в животе. Появляются вследствие не усвоения потребляемой человеком пищи.
- Механическая желтушность. Свидетельствует о нарушении оттока жидкости.
Желчная кислота самым негативным образом влияет на стенки желудка и слизистую оболочку кишечника и пищевода. Поэтому при появлении характерных симптомов больному следует незамедлительно начинать борьбу с данной патологией, ведь нередко запущенность приводит к развитию более глобальных заболеваний, требующих длительного и трудоемкого лечения.
Внимание. Одним из самых опасных осложнений, возникающих в результате рефлюкса – это появление язв и метаплазии. В результате этих заболеваний происходит некроз клеток желудка, которые впоследствии замещаются на клетки других органов системы пищеварения. При этом отмечается высокий риск образования злокачественных опухолей.
Характерные симптомы недомогания
Выявить такое состояние на начальном этапе его развития невозможно, так как оно развивается медленно. Лечение застоя начинают лишь после того, как желчь скапливается в организме в большом количестве и провоцирует различные симптомы. Сначала признаки поражения проявляют себя в незначительной степени, и больной не обращает на них особого внимания. По прошествии какого-то времени признаки поражения начинают усиливаться, у пациента появляется слабость, недомогание, усталость, регулярная сонливость, горечь в ротовой полости, полное либо частичное отсутствие аппетита.
Желчь густой консистенции может сообщать о себе пожелтением кожных покровов, так как билирубин (пигмент, находящийся в желчи) начинает активно всасываться в кровь и распространяться по всему организму. Указывать на проблемы с работой могут следующие симптомы:
- увеличение размера желчного пузыря;
- неприятные ощущения, раздражение на коже рук и ног;
- проблемы со стулом: метеоризм либо запор;
- наличие изжоги;
- сильная боль в области правого подреберья;
- сильная отрыжка;
- рвотные позывы и чувство тошноты.
Диагностика
Диагностировать проблему можно уже по появившимся специфическим признакам, однако, для более точного и детального диагноза врач назначает соответствующую диагностику.
Она включает в себя:
- сбор анамнеза;
- проведение лабораторных анализов;
- проведение инструментальных методов исследования.
Лабораторные анализы позволяют получить информацию о наличии анемии, уровне лейкоцитов и СОЭ. Биохимический анализ крови дает результат концентрации билирубина, холестерина, щелочной фосфатазы и печеночных ферментов. Биохимический анализ мочи показывает наличие желчных пигментов.
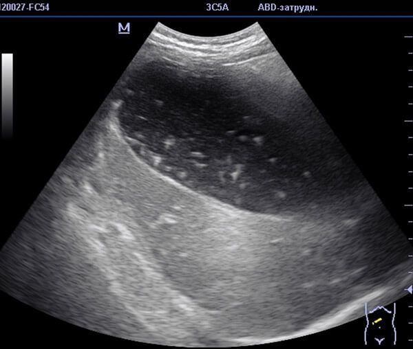
На фото УЗИ снимок, где диагностируется застой желчи в желчном пузыре.
Благодаря инструментальным методам диагностики получается визуальная картина печени, желчного пузыря, протоков и желудка. В результате инструментальной диагностики врач может обнаружить закупорку протоков, оценить степень поражения внутренних органов, задействованных в транспортировке желчи.
В качестве инструментальной диагностики применяются:
- УЗИ;
- эндоскопическая ретроградная холангиопанкретография;
- МРТ;
- чрезкожная чрезпеченочная холангиография.
По результатам проведенной диагностики врач назначает пациенту соответствующее лечение и дает рекомендации по соблюдению особой диеты №5.
Как вывести жёлчь из организма в домашних условиях
Если проблема возникла единоразово, то выведение жёлчи из организма можно провести самостоятельно в домашних условиях. Самым простым методом является питьё воды мелкими глотками 1-1.5 литра. Уже через 10-12 минут станет лучше.
Если же приступы повторяются, то необходимо искать другие ответы на вопрос, как можно вывести жёлчь из организма. Помимо медикаментозного лечения, активно применяется избавление от недуга целебными травами. Быстро удалить застои поможет настойка из цикория и барбариса. Отвар из фенхеля, полыни, мяты и бессмертника также избавят от холецистита из жёлчного пузыря.
Выгнать жёлчь из организма помогает специальный массаж и лечебные упражнения.
Вылечит недуг грамотное применение техники тюбажа. Для проведения процедуры необходимо приготовить раствор из магнезии и тёплой воды. Принимать жидкость сразу после пробуждения, натощак.
Также утром выпивать несколько граммов натурального кукурузного масла. Оно должно быть комфортной температуры, можно немного нагреть.
Помогут в борьбе с застоями семена тыквы — нормализуют работу жёлчного пузыря, являются хорошей профилактикой от глистов.
Методик, рассказывающих о том, как вывести жёлчь из желудка достаточно много. Все они имеют противопоказания в виде возникновения аллергических реакций, поэтому перед началом курса нужно обязательно советоваться со специалистом.
Лечение
Лечение зависит от типа застоя желчи, ее концентрации и степени проявления симптомов.
Медикаментозное выведение желчи из организма показано пациентам с такими патологиями:
- дискенезия желчевыводящих путей;
- хронические воспаления печени;
- холецистэктомия (отсутствие желчного пузыря путем хирургического удаления).
Внимание. Самостоятельно выводить желчь из организма категорически запрещено лицам с диагнозом желчнокаменная болезнь. Резкий прогон желчи провоцирует активное движение камней по протокам, что может привести к их закупорке. В таких ситуациях пациентам требуется незамедлительная хирургическая помощь.
Определив точный диагноз и степень нарушений в организме врач разрабатывает методику лечения, которая в обязательном порядке включает в себя:
- прием желчегонных лекарственных препаратов;
- прием симптоматических и антибактериальных препаратов;
- прием спазмолитических препаратов;
- прием витаминов и антиоксидантов;
- соблюдение диеты №5;
- использование рецептов народной медицины.
Медикаментозная терапия
Медикаментозный курс лечения назначается врачом на основании проведенного обследования пациента. Тактика зависит от причин патологии, от наличия сопутствующих заболеваний и течения болезни.
Таблица №2. Лекарственные средства в борьбе с рефлюксом.
| Группа лекарственных средств | Название препаратов | Действие |
| Селективные прокинетики |
|
Способствуют быстрому и полному опорожнению желудка. Повышают тонус сфинктеров двенадцатиперстной кишки. |
| Антациды |
|
Цена таких препаратов довольно низка, что дает возможность приобрети их пациентам даже с низким достатком. Они регулируют кислотно-щелочной баланс, снижают кислотную среду в желудке. |
| Симптоматические препараты |
|
Позволяют снять ярко выраженную симптоматику рефлюкса. Многие препараты непосредственно воздействуют на элементы желчи, меняют их химическую структуру и делают секрет более растворимым. |
Важно. Если врач после проведенной диагностики выявил полную дисфункцию желудочных сфинктеров, то в этом случае устанавливается прямая необходимость в операции. Под данным хирургическим вмешательством подразумевается лапароскопическая коррекция гастродуоденального рефлюкса.
Данные препараты легко справляются с ярко выраженными симптомами застоя желчи.
Лекарственные средства для усиления желчеоттока
Желчегонные препараты позволяют ослабить симптоматику и вывести из организма избыточно скопившуюся желчь. Данная группа лекарств способствует расслаблению мышечной ткани желчевыводящих протоков, снятию спазма, купированию болевых ощущений. Уже после нескольких дней приема лекарств у пациента улучшаются процессы пищеварения, он начинает чувствовать тягу к еде.
Таблица №3. Курс лечения для усиления желчеоттока.
| Лекарственное средство | Способ приема |
|
|
Вечером необходимо растворить 20 грамм порошкового вещества в половине стакана горячей воды. Натощак с утра следует выпить приготовленное лекарство и лечь в кровать на правый бок минимум на 1,5 часа, сверху положить грелку. Положительный результат можно считать при начале позывов в туалет. |
|
|
Одно из самых широко применяемых лекарств. Благоприятствует усилению оттока желчи, очищает желчевыводящие протоки. Принимать препарат следует начинать с 1 таблетки трижды в день. В течение первых 7 дней нужно каждый день увеличивать суточную дозу на 1 таблетку. А начиная с 8 дня приема, суточная доза каждый день сокращается на 1 таблетку. Курс лечения занимает 2 недели. |
|
|
Многие лекарственные средства, усиливающие желчеотток, действуют не только в одном направлении, но и способны восстанавливать поврежденные клетки печени. К таким относятся:
|
|
|
С вечера необходимо открыть бутылку с минеральной водой и оставить для выхода газов. Утром натощак выпить 1 стакан воды за 2-3 подхода. Перерыв между подходами – 20 минут. Вода пьется маленькими глотками. В период приема «водного» лекарства нужно лечь на правый бок и приложить грелку, как в случае с применением Магнезии. В качестве лечения используется:
|
Для вывода печеночного секрета из организма врач назначает желчегонные препараты. Они могут быть химического и растительного состава.
Таблица №4. Обзор желчегонных препаратов химического состава.
| Название препарата | Дополнительные компоненты | Действие |
| Аллохол. |
|
Усиливает тонус желчных протоков, способствует усилению продукции пищеварительных ферментов. Также препарат снижает симптом кишечного брожения и подавляет процессы гниения в кишечнике. |
|
|
кукурузный крахмал. | Сокращает степень концентрации холестерина в составе желчи, способствует выходу желчи из пузыря. |
|
|
|
Служит раздражающим фактором для клеток печени, что необходимо для стимуляции выработки желчи. Имеет сильный желчегонный эффект. |
|
|
сухая желчь. | Усиливает выведение желчи из печени. Стимулирует работу органов ЖКТ. |
|
|
кукурузный крахмал. | Желчегонное средство позволяет даже частично растворить камни в протоках и желчном мешочке. Способствует выведению холестерина из печени и кишечника. Назначается при рефлюксе желчи в желудок. |
|
|
кукурузный крахмал гранулированный. | Снижает выработку холестерина. Способствует растворению камней, усиливает отток желчи. |
Также существуют желчегонные препараты на растительной основе. Это:
- Датискан. Разработан на основе коноплевой датиски.
- Фитогепатол. В состав препарата включаются такие растения: пижма, календула, ромашка и мята.
- Берберис +. Относится к гомеопатическим лекарственным средствам, разработан на основе бербериса.
- Травохол. Состав лекарства – пижма, мята, бессмертник, черемуха, шиповник, смородина.
- Холагол. Разработан на основе мяты, эвкалипта и куркумы.
- Соларен. Основа препарата – куркума длинная.
- Уролесан. Одно из распространенных желчегонных лекарств, созданных на основе шишки хмеля, плодов морковки дикой, масла пихты, мяты и душицы.
Если после проведенного курса медикаментозной терапии пациент не чувствует облегчения, назначается повторная диагностика и в случае показаний устанавливается необходимость в хирургическом вмешательстве.
Хирургия
Операции могут назначаться при наличии определенных показаний. Это:
- разрастание кист, перекрывающих желчные протоки;
- дренирование протоков извне;
- образование анастомозов;
- удаление желчного мешочка, его вскрытие.
Отметим, что операции проводятся после первичной диагностики, в случаях, когда отмечается сужение желчевыводящих протоков, образования в них конкрементов.
Операции на желчном пузыре проводятся только при наличии существенных показаний.
В зависимости от причин патологии назначается соответствующая хирургическая процедура:
- Эндоскопическая литоэкстракция.
- Дилатация просвета протоков.
- Удаление кистозных образований и опухолей.
- Холецистэктомия.
- Холедохостомия.
- Внедрение стентов в желчные протоки.
После операции пациент обязан пройти курс реабилитации, который включает в себя:
- физиопроцедуры;
- лечебную физкультуру;
- массаж;
- прием поддерживающих и восстанавливающих процессы желчеобразования и желчевыделения;
- соблюдение диеты №5.
Диета
Незаменимая роль в лечении рефлюкса отводится правильному питанию. Для пациентов, имеющих проблемы с выработкой и выведением желчи медицина специально разработала диету №5. Не секрет, что основным провокатором в развитии рефлюкса становится некачественное питание.
В самом начале становления проблемы диета способна навсегда избавить человека от неприятных симптомов и восстановить работу всей пищеварительной системы. Однако не стоит забывать, что если уже есть предпосылки, то правильный рацион должен стать основой жизни человека и в будущем.
Совет. Врачи рекомендуют пациентам, имеющим нарушения с оттоком желчи, вводить в свой рацион обильное питье. Положительный эффект дает не только очищенная вода, но и чай или отвар на основе шиповника, кукурузных рыльцев и цикория.
Для пациентов с желчевыводящей дисфункцией разработана специальная диета №5.
Отличного результата по выведению желчи из организма помогают достичь некоторые продукты, обладающие желчегонным эффектом. При этом не стоит забывать о перечне продуктов, категорически не рекомендуемые к употреблению в данном случае.
Продукты, обладающие желчегонным действием
Каждый продукт тем или иным способом оказывает влияние на работу желчного пузыря. Некоторые становятся главной причиной спазмов желчных протоков и избыточного скопления печеночного секрета, а некоторые, наоборот, стимулируют желчный мешочек к выбросу желчи.
Наиболее эффективными в борьбе с патологией являются такие продукты:
- Масла растительного происхождения. Это: кукурузное, арахисовое, масло авокадо, подсолнечное и оливковое. При этом стоит помнить, что масло полезно только в натуральном виде без какой-либо термической обработки. Жарка на масле – это категорически запрещенный тип блюд.
- Овощные бульоны и свежие овощи. Препятствуют чрезмерному скоплению желчи в желчном мешочке, стимулируют ее выброс в двенадцатиперстную кишку.
- Отруби. Увеличивают тонус желчевыводящих протоков. Помогают нормализовать стул, благоприятствуют выводу из организма вредных и токсичных веществ.
- Фрукты. Оказывают положительное влияние на тонус желчного пузыря. К таким фруктам относятся: арбуз, бананы, лимоны, апельсины, груша, мандарины, дыня, чернослив, инжир, курага, яблоко.
- Куркума. Незаменимый продукт в борьбе с проблемой желчевыводящей системы. Является основным компонентом многих желчегонных лекарственных препаратов.
- Полезное действие достигается при употреблении сока капусты, свеклы, томата, черной редьки и брусники.
- Цикорий помогает справиться с застоем желчи в желчном пузыре.
- Такая зелень, как укроп, шпинат и сельдерей стимулируют тонус пузыря и желчных протоков.
Внимание. Положительный эффект достигается от применения овощных соков, если они были употреблены в течение 15 минут после их приготовления.
Свежевыжатые овощные соки способствуют выведению желчи из организма.
Также стоит отметить полезные свойства меда. Если использовать майский мед (разнотравье), можно увеличить стимуляцию вывода желчи из пузыря, печени или желудка. Но нужно отметить, что мед противопоказан при желчнокаменной болезни, так как под его воздействием активизируется движение конкрементов.
Помимо полезных продуктов пациентам эффективно смогут помочь травяные настои. О них мы расскажем в отдельном разделе, посвященному лечению народной медициной.
Запрещенные продукты питания
Категорически противопоказаны при рефлюксе и застое желчи такие продукты:
- животные жиры;
- концентрированные бульоны на основе грибов, рыбы и мяса;
- алкогольсодержащие напитки;
- газированные напитки;
- любые жареные блюда;
- копченые продукты;
- сладости;
- овощи и фрукты в большом количестве содержащие кислоты;
- кофе и крепкий чай;
- бобовые: фасоль, горох, нут;
- уксус;
- куриные яйца;
- редис.
Соблюдая диету №5 следует категорически исключить из рациона жирную и копченую пищу.
Если пациент проигнорирует рекомендации и будет употреблять вышеперечисленные продукты питания, ему грозит:
- ухудшение здоровья и общего состояния;
- появление болевого синдрома в области правого подреберья;
- спазмирование желчного пузыря и протоков;
- активное движение конкрементов.
Показания к выведению жёлчи
Нельзя проводить процедуры по выведению жёлчи во время гепатита и цирроза, сопровождающегося признаками недостаточности клеток печени, а также при синдроме раздражённого кишечника (при выраженной диарее).
Противопоказаны желчегонные процедуры если есть камни в полости пузыря — их движение вместе с жидкостью может привести к закупорке протоков.
Лечение народными средствами строится на применении специальных травяных отваров и настоев из лечебных растительных трав, выводящих излишки сока из тела и хорошо помогающих против воспаления. Схема нетрадиционной терапии строится на двух курсах в год, длиной по три месяца. Чаще всего для настоев используют одуванчик, розу бедренцеволистную, бессмертник, красную травицу, березовые листья, мяту, корень аира, чертополох расторопшу, полынь, колоб и землянику. Перед тем, как прибегнуть к нетрадиционной медицине, следует проконсультироваться с гастроэнтерологом.
К эффективному выведению застоявшейся жидкости из организма приводит соблюдение диеты №5, строящейся на здоровом питании и употреблении таких продуктов, как:
- цитрусовые фрукты (апельсины, мандарины, грейпфруты, лимоны);
- овощи (капуста, шпинат, укроп, помидоры, кукуруза, свекла, сельдерей);
- масло, содержащее растительные жиры, которые очень полезны и обладают эффективным желчегонным эффектом (оливковое, авокадное, кукурузное и подсолнечное);
- натуральные соки;
- цикорий.
Полноценный рацион питания назначает врач, опираясь на индивидуальные особенности пациента.
Принимать холеретики нужно в назначенной врачом дозировке. Злоупотребление препаратами нарушает пищеварение, что становится причиной болей в животе, метеоризма, жидкого стула, обезвоживания организма, слабости и т.д.
При лечении важно избегать тяжелых физических нагрузок, рационально организовать режим дня, избавиться от вредных привычек, наладить регулярный прием пищи.
Существует и хирургические методы лечения застоя желчи. Среди наиболее актуальных:
- холецистэктомия (полное удаление желчного пузыря);
- частичное удаление его стенки (при наличии на ней опухоли либо уплотнения, послужившей причиной застоя);
- установка в желчные протоки специальных расширителей (при уменьшении из просвета, что явилось причиной непроходимости);
- дренирование желчных каналов;
Хирургическое удаление на начальной стадии процесса может производиться эндоскопическим путем. При этом на коже делается лишь прокол, в который вставляется специальное оборудование (эндоскоп). Контроль удаления осуществляется посредством монитора, на который выводится изображение всех действий на внутренних органах. Это лапароскопическая холецистэктомия.
Вторым вариантом операции является полостной разрез и выполнение удаления лапаротомическим способом. Такой метод хорош тем, что выполняется полная ревизия всех близлежащих органов.
Терапия желчных застоев проводится и с помощью лекарственных препаратов. Таблетки в таком случае пользуются при:
- очистке желудка;
- повышение тонуса клапанов желудка;
- нормализация pH желудочной среды;
- снятие признаков воспаления;
- купирование приступов спазмов;
- оказания желчегонного действия.
Назначаются медикаменты:
- мотилиум;
- маалокс;
- но-шпа;
- папаверин;
- эссенциале (или гепагард);
- укрлив.
В каждом случае терапия подбирается индивидуально, с учетом сопутствующих заболеваний, аллергологического статуса, анамнеза жизни и болезни.
Травы в условиях домашнего лечения холестазов также имеют большое значение. Подобрав правильное сырье и приготовив из него настои или отвары, обеспечивают их регулярное применение. Курсы такого лечения можно проводить дважды в год.
В качестве сырья рекомендуют:
- одуванчик;
- бедренцеволистную розу;
- бессмертник;
- травицу красную;
- листья взрослой березы;
- аирный корень;
- расторопша;
- полынь;
- листья земляники;
- колоб;
Курс приема может составлять до трех месяцев.
Приготовление отвара : 2 столовых ложки смеси измельченных растений заливают половиной литра кипятка и настаивают 15-20 минут в емкости, накрытой крышкой. Процеживают и принимают после приема пищи.
Наладить функцию желчеотделения и промыть желудок полезно с помощью специальных минеральных вод. Рекомендуются горячие сульфатно-магниевые, а также гидрокарбонатные варианты.
Важно: чтобы эффект был заметнее пьют воду натощак, в теплом виде, мелкими глотками. Лучше выпить за два приема с промежутком 15 минут. Во время питья лечь нужно на правый бок, под область пузыря положить грелку. Ни в коем случае в период такого лечения нельзя употреблять алкоголь и курить.
Пить воду рекомендуется не более одного месяца, чтобы не нарушить естественный водно-минеральный баланс организма.
- не быть слишком калорийной;
- быстро и легко усваиваться;
- содержать большую часть натуральных продуктов и не быть насыщенной консервантами, искусственными улучшителями вкуса;
- иметь сбалансированный питательный состав;
- исключать кислые натуральные соки, жирные жареные и копченые продукты.
Разрешается употреблять макаронные изделия, супы на крупяной или овощной основе, нежирное мясо, рыбу, яйца, мед, кисели и компоты.
Желчеразжижающим эффектом обладают: морковь, оливки, авокадо, укроп, листья шпината, масло кукурузное, сельдерей, каши из цельно-зерновых круп, отруби, особенно овсяные. Также полезны: виноград, арбуз, куркума, ревень, свекла.
Правильная диета служит как способом устранения симптомов, так и отличной профилактикой заболевания.
- Исключить продукты, усиливающие секрецию.
- Пить достаточное количество воды, но не запивать еду в процессе.
- Блюдо должно быть тёплым, и ни в коем случае горячим или холодным, чтобы не раздражать слизистую.
- Лучше варить или готовить на пару.
- Частое питание небольшими порциями.
Продукты следует подбирать, руководствуясь стандартными правилами здорового питания (ничего жирного, острого, сладкого и т. п.)
Патология требует обязательной и тщательной диагностики. Своевременное обращение за медицинской помощью, дальнейшее соблюдение лечебного плана и рекомендаций лечащего врача помогут быстро поправиться, а если полное излечение невозможно, то снизить проявление симптомов и повысить качество жизни больного.
Какие же существуют желчегонные сборы трав.
Первый вариант
В его состав входит чистотел, одуванчик (корень растения), цветы зверобоя, анис. Каждого растения нужно взять по 1 части, добавив к ним две части рылец кукурузных початков.
Для заваривания такого сбора следует выполнить следующие манипуляции: взять 5 граммов сбора, залить сырье половиной литра кипятка, проварить 5 минут, настоять, процедить. Пить приготовленное средство следует за 3 приема (по 100 мл на каждый прием).
Второй вариант
Нужно соединить зверобой с бессмертником. Около 20 граммов полученного сбора следует залить одним литром крутого кипятка не менее чем на 11 часов.
После того, как сбор настоится в воде, поставьте его на газ и доведите до кипения, продержав так 8-10 минут. Снимите с огня, остудите, процедите. Оптимальная доза такого отвара составляет 350-450 мл в сутки. Принимать отвар следует от 3 до 4 раз в день.
Употреблять его после трапезы (примерно через 40 минут). Курс составляет 2-3 недели.
Третий вариант
Возьмите крапиву, кукурузные початки, расторопшу в семенах и траву спорыша. Не менее 10 г этого сырья залейте пол-литром кипятка, уже успевшего остыть до комнатной температуры.
Пусть постоит так пять-шесть часов. Далее поставьте все это на огонь и варите 6-7 минут. Полученный отвар разделите на дозы таким образом, чтобы на один прием попадало около 100-120 мл. Курс длится в среднем около 2 недель.
Курс приема каждого сбора определяется либо вашим лечащим врачом, либо вами на основании самочувствия. Он не должен превышать период 2 недели подряд. Курсы можно повторять каждые 2-3 месяца.
- Магния сульфат;
- Холензим;
- Энерлив;
- Никодин;
- Одестон;
- Фламин;
- Аллохол;
- Урсофальк.
Рекомендуется перед применением посоветоваться с врачом, чтобы точно не навредить здоровью.
06.02.2018
Как вывести желчь из желудка и организма довольно распространенный вопрос среди больных. Она является жидкостью, помогающей осуществлению процесса пищеварения.
При сбоях в желудочно-кишечном тракте жидкость может попадать в желудок, где начинает скапливаться в большом количестве.
Ее застой является опасным явлением, поэтому необходимо знать, как вывести желчь из организма.
Застой желчи является опасным явлением, поэтому необходимо знать, как вывести желчь из организма
Отвары
Эффективно выводить желчь из организма помогают цитрусовые
Как вывести желчь из желчного пузыря? Диета при застое желчи — важная часть лечения, она помогает гарантировать пациенту скорейшее выздоровление. Питание должно быть дробным (6-7 приемов пищи) и включать в себя небольшие порции. Последний прием пищи должен быть не позже, чем за 3 часа до сна. Все употребляемые блюда должны быть теплыми, холодную продукцию и напитки принимать не следует.
Из меню питания важно полностью исключить свинину, утятину, баранину, гусятину, алкогольные напитки, свежий хлеб, кондитерские изделия, крепкий чай, бобовые продукты, кислые фрукты и овощи с большим количеством крахмала в составе, грибы, яйца, редьку, чеснок и лук.
Прием таких продуктов провоцирует еще большее количество выделяемой желчи, что ведет к осложнению состояния и проблемам с лечением.
Чтобы избежать появление такого состояния важно следить за своим образом жизни: заниматься спортом, плавать, кататься на велосипеде, роликах, танцевать. Также следует правильно питаться и не пропускать приемы пищи. Между полноценным приемом пищи рекомендовано делать небольшие перекусы, есть небольшими порциями, но часто.
Есть способ освобождения желчного пузыря от камней с помощью свекольного сока, но применять его нужно в течение 1 месяца. Только при таком условии будет положительный эффект. Сок нужно пить утром натощак каждый день. При этом следует включить в рацион и саму свеклу. Есть мнение, что данный метод поможет избавиться даже от онкологического заболевания.
Почему образуется избыток желчи
Существует перечень значимых факторов, негативно влияющих на работу гепатобилиарной системы. Некоторые нарушения приводят к усилению секреции желчи, что приводит к ухудшению.
Избыточное выделение желчи чаще всего развивается на фоне:
- Неправильного питания. При злоупотреблении жирной, копченой, жареной и острой пищи желчный отток замедляется, а на печень ложится существенная нагрузка. Чем тяжелее пища, тем сложнее ее переработать.
- Гормональных и эндокринных нарушений.
- Нервного или физического истощения, из-за стрессовых ситуаций.
- При врожденных аномалиях внутриутробного развития, включая перетяжку органа.
- При длительной гиподинамии, когда двигательная активность существенно снижена.
- При наличии пищевых аллергий.
- Из-за некоторых заболеваний желудочно-кишечного тракта и на фоне паразитарного поражения.
- Изогнутый ЖП.
Если желчные кислоты долго застаиваются в желчевыводящем органе, то начинают проникать в кровь. В таких условиях происходит ухудшение биохимических показателей, включая повышенный уровень билирубина и печеночных проб. Со временем развиваются симптомы, напоминающие проблемы с ЖКТ. При любых ухудшениях необходимо обратиться к гастроэнтерологу.
Травы
Очищение печени и желчного пузыря с помощью трав должно полностью контролироваться специалистом, так как растительные средства оказывают сильное воздействие на организм и имеют противопоказания. Многие лекарственные растения способны в правильной дозировке защитить организм от воздействия токсинов и прочих загрязнений. Самостоятельно можно принимать травы для очищения в качестве настоев и отваров.
Меры безопасности, которые нужно соблюдать при приеме травяных средств для чистки желчного пузыря и печени:
- в первую очередь пройти обследование у врача;
- избегать очистительных процедур во время воспалительных процессов, простуд, повышения температуры;
- нельзя очищаться во время переутомления и анемий.
Читать по теме: Гречка для очищения печени: польза, рецепты, противопаказания
Травяные сборы для чистки, в правильной дозировке мягко справляются с загрязнениями и выводят их из организма.
Травы, эффективные для очищения печени и пузыря от лишней желчи и токсических соединений:
- подорожник;
- крапива;
- чистотел;
- дымянка;
- расторопша;
- шиповник.
Растения можно смешать в сбор в равных пропорциях, заваривать нужно по инструкции или по совету врача. Принимать курсом в строгом соответствии с назначением доктора. Обычно процедуры очищения травами не длятся дольше 3‑х недель.
Видео
Лечение желчного пузыря. Очищение народными методами.
Основная задача желчи – это переваривание пищи. Если человек не страдает от болезней ЖКТ, то она находится в желчном пузыре, но развитие некоторых гастроэнтерологических заболеваний может привести к проникновению желчи в полость желудка. Сопровождается такое явление тошнотой, рвотой, болевыми ощущениями и другими симптомами. В таких случаях нужно знать, как выходит желчь из организма и как ее, собственно, вывести. Для этой цели существует много различных способов, подробнее о которых и пойдет речь в данной статье.
Как выходит желчь из организма
Меры профилактики
Соблюдайте пошаговую инструкцию, чтобы предотвратить всевозможные проблемы с работой пищеварительной системы. Это также позволит избежать застой желчи в организме.
Шаг 1. Бросьте курить. Курение увеличивает уровень кислоты в вашем желудке, что приводит к большему дискомфорту от желчи. Существует много различных способов бросить курить. Например, вы можете попробовать никотиновые пластыри, таблетки или другие средства. Сигаретный дым не только ухудшает работу пищеварительной системы, он также негативно влияет на состояние полости рта, легких и сердца.
Бросьте курить
Шаг 2. Избавьтесь от лишнего веса. Регенерация желчи чаще всего встречается, если на желудок пациента оказывается дополнительное давление, например, из-за избыточного веса. Посоветуйтесь со своим врачом, чтобы узнать, какой для вас вес считается нормальным. При необходимости соблюдайте диету и занимайтесь физическими упражнениями, чтобы избавиться от лишних килограммов.
Избавьтесь от лишнего веса
Шаг 3. Оставайтесь в вертикальном положении после еды. Не стоит недооценивать силу тяжести – если после приема пищи вы будете находиться в горизонтальном положении, это затруднит движение желчи по пищеварительной системе. После еды подождите 2-3 часа, прежде чем прилечь на диван или кровать.
Оставайтесь в вертикальном положении после еды
Шаг 4. Поднимите угол своей кровати. Сон под углом может помочь уменьшить симптомы желчного рефлюкса и предотвратить застой желчи в организме. Старайтесь разместить верхнюю часть тела примерно на 10-15 см выше нижней части тела. Воспользуйтесь для этой цели дополнительной подушкой или поднимите подлокотник дивана, если это возможно.
Поднимите угол своей кровати
Шаг 5. Практикуйте медитацию и другие мероприятия по снятию стресса, ведь он может увеличить количество желчной кислоты в желудке. Попробуйте заняться медитацией, чтобы хорошо расслабиться. Это можно делать как самостоятельно, так и с другими людьми в классе медитации.
Медитация
Другие мероприятия по облегчению стресса включают чтение в тихой комнате, прогулку на улице или выполнение некоторых легких упражнений, таких как бег или танцы в течение 20-30 минут в день.
Шаг 6. Ведите дневник продуктов питания. Запись всего того, что вы едите или пьете, может помочь определить, что может быть причиной проблем с пищеварительной системой. Запишите все, что едите и пьете вместе со временем и любыми симптомами, которые вы испытываете после этого. Затем сверяйтесь со своим журналом в конце каждой недели, чтобы проверить данные.
Ведите дневник продуктов питания
Например, если вы заметили, что у вас есть проблемы через несколько часов после стакана апельсинового сока, это может быть одним из ваших табу. Попробуйте избегать апельсинового сока в течение недели и посмотрите, поможет ли это.
Выведение из организма при помощи продуктов
Главная рекомендация лечащего врача при диагнозе «жёлчный застой» – правильный распорядок питания и соблюдение элементарной диеты. В настоящее время разработано много питания диетического при рефлюксе. Главное – кушать понемногу, но часто. Но не стоит переедать. Желательно, чтобы основные приемы пищи были в одно и то же время. Процесс пищеварения начнет «работать» как часы. С рефлюксом можно самостоятельно справиться, только если исключить из рациона продукты, стимулирующие выделение большого количества жёлчных масс. Это алкоголь, газированные напитки, консервы, копчёности, жареная и жирная пища. Нужно стараться каждый день вводить в рацион питания овсянку, кефир, кисель на натуральной основе.
Вопрос-ответ
Что хорошо выводит желчь из желудка?
Наиболее полезными для ЖКТ являются: масло семян подсолнечника, оливковое, кукурузное и льняное. Применять такие масла рекомендуется в чистом виде за полчаса до еды. Они стимулируют выброс желчи, а также их употребление подарит Вам хорошее самочувствие на весь день.
Как улучшить отток желчи народными средствами?
Для оттока желчи издавна применяли экстракты или части определенных растений. Самыми эффективными считаются дикий горький цикорий, цветки календулы и бессмертника, корень имбиря и женьшеня, плоды шиповника, ревень, розмарин, ягоды барбариса, кукурузные рыльца, тмин, цветки и листья одуванчика, полыни, зверобоя.
Что есть утром для оттока желчи?
Лучший завтрак для оттока желчи — это гречневая, овсяная или рисовая каша из нешлифованного зерна. Желчегонным действием обладает сливочное масло, но его следует употреблять в умеренном количестве. Полезны сыр, творог, йогурт, простокваша, сметана, запеканки.
Советы
СОВЕТ №1
Перед началом любого лечения, включая медикаментозный подход и использование народных средств, обязательно проконсультируйтесь с врачом. Это поможет избежать возможных осложнений и подобрать наиболее эффективный метод для вашего случая.
СОВЕТ №2
Обратите внимание на свой рацион. Употребление легкой, сбалансированной пищи, богатой клетчаткой, может помочь улучшить работу желчного пузыря и снизить риск застоя желчи. Избегайте жирной и острой пищи, которая может усугубить состояние.
СОВЕТ №3
Используйте народные средства с осторожностью. Некоторые травы, такие как мята, расторопша и одуванчик, могут помочь в улучшении желчеотделения, но важно следить за реакцией организма и не превышать рекомендуемые дозировки.
СОВЕТ №4
Регулярно занимайтесь физической активностью. Умеренные физические нагрузки способствуют улучшению обмена веществ и нормализации работы желчного пузыря, что может помочь в выведении желчи из организма.




































