Классификация
Классификация ОП осуществляется с учетом степени прогрессирования воспалительного процесса, наличия или отсутствия осложнений. По форме протекания заболевание может быть отечного типа, стерильным панкреонекрозом и инфицированным панкреонекрозом. Стерильный ОП дополнительно классифицируется на ограниченный и распространенный вид, а по характеру поражения патологический процесс может быть смешанным, жировым и геморрагическим.
Классификация по степени тяжести:
- легкая форма (заболевание характеризуется минимальным поражением поджелудочной железы, слабо выраженной симптоматикой);
- тяжелая форма (обширное поражение поджелудочной железы, выраженная симптоматика, наличие осложнений в виде абсцессов, некротических участков).
При остром панкреонекрозе фельдшер должен действовать быстро и эффективно. Врачи подчеркивают, что первоочередной задачей является облегчение состояния пациента. Необходимо обеспечить полный покой и исключить прием пищи, чтобы снизить нагрузку на поджелудочную железу. Важно контролировать болевой синдром, для чего могут быть использованы анальгетики.
Также врачи рекомендуют следить за состоянием пациента, обращая внимание на признаки шока или ухудшения общего состояния. При наличии симптомов, таких как рвота или сильная боль, следует немедленно вызвать скорую помощь. Важно помнить, что при панкреонекрозе может возникнуть риск осложнений, поэтому фельдшер должен быть готов к быстрой транспортировке пациента в стационар для дальнейшего лечения. Правильные действия на этапе первой помощи могут существенно повлиять на исход заболевания.

Симптомы
Основным симптомом острого панкреатита является болевой приступ с локализацией в пищеварительном тракте. Спазмы могут концентрироваться в области живота, правого или левого подреберья. Приступ провоцируется конкретным фактором — употреблением жирной, острой или жареной пищи.
Если пациент принимает горизонтальное положение, то болевые ощущения в значительной степени усиливаются. Боль при остром панкреатите имеет выраженный и постоянный характер.
Симптоматика воспаления:
- тошнота;
- метеоризм;
- неукротимая рвота;
- изжога;
- рвота желчными массами;
- синюшность кожных покровов;
- признаки обезвоживания;
- многократная диарея;
- отсутствие аппетита;
- желтушность склер;
- кровоизлияния в зоне пупка;
- ощущение тяжести в кишечнике;
- острая боль в верхней части живота;
- избыточная напряженность передних брюшных мышц;
- повышение температуры тела.
Ситуационная задача для фельдшера СМП: острый холецистит
Первая помощь при панкреатите, особенно в острой форме панкреонекроза, требует быстрой и грамотной реакции. Люди часто обсуждают важность своевременной медицинской помощи и правильных действий до приезда фельдшера. В первую очередь, необходимо обеспечить пациенту покой и исключить прием пищи, чтобы не нагружать поджелудочную железу. Холод на область живота может помочь снизить болевые ощущения и воспаление.
Фельдшер, прибыв на место, должен оценить состояние пациента, измерить давление и частоту пульса, а также провести необходимые манипуляции для стабилизации состояния. Важно помнить, что при панкреонекрозе может развиться шок, поэтому контроль за жизненными показателями становится приоритетом. Люди подчеркивают, что грамотные действия на этапе первой помощи могут существенно повлиять на исход заболевания и снизить риск осложнений.

Анамнез
Пациентка вялая, заторможенная, речь невнятна. Несколько часов назад резко заболела голова, появилось головокружение, тошнота, вялость. Больная регулярно принимает Энап. Самостоятельно измерила давление (170/110 мм рт. ст.), после чего приняла Каптоприл, но улучшения состояния не последовало. Также пациентка пожаловалась на боль в области правого подреберья.
Объективное обследование
- общее состояние — средней степени тяжести;
- температура тела — 37,6 °С;
- больная повышенного питания (рост -159 см, вес — 93 кг);
- кожа и видимые слизистые чистые, бледные, умеренной влажности, склеры субиктеричные;
- на верхнем веке справа имеются единичные ксантелазмы размером до 3 мм в диаметре;
- периферические лимфоузлы не прощупываются, отеки отсутствуют;
- аускультативно: дыхание везикулярное, хрипы отсутствуют, частота дыхательных движение — 21 в минуту;
- пульс ритмичный, 80 ударов/мин, удовлетворительного наполнения и напряжения;
- АД в момент осмотра — 150/120 мм рт.ст.;
- язык влажный, обложен налетом желтоватого оттенка;
- живот увеличен (вследствие ожирения), принимает участие в акте дыхания, при пальпации больная жалуется на резкую болезненность в области эпигастрия и правого подреберья;
- печень не пальпируется, селезенка нормального размера, симптом Ортнера и френикус-симптом положительные;
- область почек — без изменений, почки не пальпируются, симптом поколачивания отрицательный с обеих сторон.

Диагноз
В карте вызова скорой медицинской помощи при холецистите ставится код К81.0 (согласно МКБ-10).
Основанием для постановки диагноза послужили:
- жалобы пациентки на чувство тошноты, головокружение, слабость;
- данные анамнеза;
- данные объективного обследования.
К81.1 Хронический холецистит
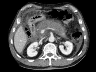
Диагностика
При проявлении симптомов острого панкреатита необходимо провести дифференциальную диагностику с острым аппендицитом, кишечной непроходимостью, желудочно-кишечным кровотечением и обострением язвенной болезни. Клиническая картина состояния здоровья пациента составляется на основе жалоб, внешнего осмотра, а также результатов лабораторных и инструментальных исследований.
В некоторых случаях для подтверждения диагноза необходимо осуществить минимальное количество процедур обследования.
Лабораторная и инструментальная диагностика
Инструментальная и лабораторная диагностика являются неотъемлемой частью процесса обследования пациента. Общий и биохимический анализ крови назначается в обязательном порядке. Дополнительно проводятся специальные индикаторные тесты. Процедуры инструментальной диагностики подбираются с учетом общего состояния пациента.
Виды лабораторных и инструментальных процедур:
-
тест на активность амилазы в крови и моче; - биохимия крови;
- общий анализ крови;
- ионограмма (степень обезвоживания);
- УЗИ или рентгенография;
- КТ или МРТ;
- лапароскопия;
- ангиография;
- ЭГДС.
Характерная симптоматика
В случаях обострения патологии или ее проявлении в остром виде главный симптоматический признак – болевые ощущения. Они могут проявляться практически в любом отделе верхней части живота. К тому же характер боли также может отличаться.
Объединяет все эти противоречивые симптомы общий «болевой» признак: особая интенсивность. Поджелудочная железа содержит много нервных окончаний. Они принимают «активное участие» в процессе воспаления, поэтому боль настолько сильная, что без купирования приводит к болевому шоку. Больной не в состоянии лежать и перемещаться. Временное облегчение наступает в позе эмбриона, которую неосознанно пытается принять больной. Во время приступа, сопровождаемого сильными болями, возможна потеря сознания.
В тяжелых случаях симптоматика приступа дополняется такими признаками:
- Тошнота;
- Частая рвота, которая начинается с выхода не переваренной пищи, а заканчивается желчью;
- Вздутие;
- Жидкий зловонный стул, содержащий кусочки непереваренной пищи;
- Плохой аппетит;
- Повышенные показатели температуры тела;
- Нарушения стула, проявляющиеся в попеременном запоре и диарее;
- Отрыжка;
- На языке появляется налет белого цвета;
- Снижается упругость кожного покрова, он приобретает серый цвет;
- Фиксируется резкая потеря веса;
- Икота;
- Иногда фиксируются сниженные показатели артериального давления.
Подобная симптоматика напоминает пищевые отравления, расстройства желудочно-кишечного тракта. Поэтому диагностировать приступ панкреатита можно только после лабораторной и аппаратной диагностики.
Оценка тяжести состояния больных с острым панкреатитом
При оценке состояния пациентов с ОП врачи используют специальные шкалы. Одной из самых эффективных считается шкала Ranson. Система включает в себя одиннадцать критериев. Состояние больного изучается на момент поступления на госпитализацию и спустя сорок восемь часов. Каждый пункт оценивается в один балл. Если у пациента выявлено менее трех пунктов шкалы, то острому панкреатиту присваивается легкая форма течения. При наличии осложнений по шкале оценки результат должен превышать три балла.
Шкала Ranson:
| При поступлении | Через 48 часов после госпитализации |
| AсАТ > 250 МЕ/л | Задержка жидкости > 6 л |
| Лейкоцитоз > 16000/мм3 | Кальций плазмы < 2 ммоль/л (<8 мг%) |
| Возраст >(60) 55 лет | РаО2 < рт. ст. |
| ЛДГ > 400 МЕ/л | Снижение гематокрита более чем на 10 % после поступления |
| Глюкоза крови > 11,1 ммоль/л (>200 мг%) | Метаболический ацидоз с дефицитом оснований >4 мэкв/л |
| Кальций плазмы < 2 ммоль/л (<8 мг%) |
Можно ли оказать первую помощь при остром панкреатите до приезда врача
При ОП следует оказать пациенту первую помощь. Правильные мероприятия в значительной степени облегчат состояние больного. Запрещено до приезда скорой помощи принимать ферментные препараты (Креон, Фестал), употреблять пищу и использовать сильнодействующие медикаменты для купирования болевого синдрома.
Некоторые лекарственные средства могут замаскировать симптомы воспалительного процесса, а диагностировать приступ будет сложнее.
Первая помощь:
- прикладывание льда или холодного компресса к очагу боли;
- одежда не должна препятствовать поступлению кислорода в легкие;
- пациенту обеспечивается постельный режим и полный покой;
- больному нельзя принимать горизонтальное положение (полулежа, на боку).
Видео на тему: Первая помощь при панкреатите (острый приступ, боль).
Лечение
Терапия ОП направлена на восстановление функционального состояния поджелудочной железы, максимальное снижение нагрузки на орган и купирование болевого синдрома. Пациентам с таким диагнозом рекомендована госпитализация и постельный режим. Самолечение при данной патологии должно быть исключено.
Неправильная терапия может стать причиной осложнений (абсцессы, некрозы), некоторые из которых не совместимы с жизнью.
Консервативное лечение
Схема терапии острого панкреатита зависит от степени выраженности симптоматики и поражения поджелудочной железы. Некоторые методы консервативного лечения являются обязательными независимо от формы патологии.
Если пациенту показано хирургическое вмешательство, то после его проведения некоторые пункты из стандартного плана используются в качестве восстановительной терапии.
Консервативное лечение ОП:
- инфузии солевых и белковых растворов (для восстановления кислотного, белкового, а также водно-электролитного баланса);
- дезинтоксикационная терапия (Лазикс);
- внутривенное введение препаратов, ускоряющих микроциркуляцию (Гемодез);
- создание гипертермических условий (на очаг болевого синдрома накладываются охлаждающие компрессы);
- прием дезактиваторов ингибиторов панкреатических ферментов (Гордокс, Контрикал);
- антибактериальная терапия (для профилактики осложнений);
- противорвотные средства (Регидрон, Домперидон, Тримебутин);
- использование спазмолитиков или новокаиновой блокады (для купирования болевого синдрома, Баралгин, Трамадол);
- лечение антацидными средствами (Гастрозол, Фосфалюгель, Алмагель);
- прием препаратов для нейтрализации желудочного содержимого (Пантопразол, Омез);
- соблюдение диеты (в первые дни приступа рекомендовано голодание).
Антибактериальная терапия острого панкреатита
Целью использования антибиотиков при остром панкреатите является снижение риска бактериальных осложнений, купирование воспалительного процесса в системе пищеварения и предотвращение распространения инфекции на другие органы.
Принимать антибактериальные средства разрешено только при наличии показаний врача.
Примеры антибиотиков, применяемых при ОП:
- Гентамицин;
- Ампициллин.
Хирургическое лечение
Оперативное вмешательство является радикальной мерой лечения ОП. Основными показаниями для проведения хирургических процедур являются камни в желчных протоках, наличие абсцессов, кист и некротических участков на тканях поджелудочной железы. Операция может понадобиться, если в железе или вокруг нее образовалось чрезмерное скопление жидкости. После хирургического вмешательства пациенту назначается восстановительная терапия.
Виды хирургических процедур:
- резекция поджелудочной железы;
- некрэктомия;
- эндоскопическое дренирование;
- цистогастростомия;
- марсупиализация кисты.
Общие тактические мероприятия
Для бригад всех профилей:
- Провести терапию;
- Выполнить медицинскую эвакуацию.
При отказе пациента или его законного представителя от медицинской эвакуации:
- Оформить отказ от медицинской эвакуации в карте вызова СМИ;
- Дать рекомендации:
- соблюдение диеты;
- консультация гастроэнтеролога, хирурга;
- Предложить активный вызов участкового терапевта;
- При согласии пациента или его законного представителя на активный вызов участкового терапевта:
- передать активный вызов в поликлинику через медсестру (фельдшера) по приему вызовов и передаче их выездным
бригадам.
Реабилитация в домашних условиях
Длительность периода госпитализации при ОП зависит от формы патологии и общей клинической картины состояния пациента. После выписки из стационара рекомендуется соблюдать определенные правила и изменить образ жизни. Если панкреатит был выявлен в легкой форме, то некоторые ограничения постепенно снимаются. При тяжелом течении болезни и осложнениях, пациенту необходимо придерживаться составленного плана рекомендаций всю жизнь.
Основу домашней реабилитации составляет правильное питание и исключение факторов, способных спровоцировать рецидив приступа.
Диета для больных
В первые сутки после купирования приступа рекомендовано голодание. Больному обеспечивается полный покой и парентеральное питание. На вторые сутки разрешается употреблять щелочную воду. Принимать пищу можно с третьего дня (в тяжелых случаях — с пятого). Рацион должен расширяться постепенно. В число разрешенных продуктов входят протертые каши (манная, рисовая), овощной бульон, нежирные сорта белой рыбы.
При наличии тенденции к выздоровлению можно вводить в меню овощи, фрукты и блюда, приготовленные с учетом рекомендаций врача.
Общие правила диеты:
- в день можно употреблять до 6 г соли;
- питание должно быть дробным (прием пищи 5-6 раз в день, размер одной порции не должен превышать 300 г);
- из рациона исключаются жирные, соленые, пряные и острые блюда (даже однократное употребление таких продуктов может спровоцировать приступ ОП);
- основу питания составляет вегетарианская пища (овощи без грубой клетчатки, некислые фрукты, морепродукты);
- из меню пациента должны быть исключены свежие овощи, яйца, колбасные изделия, кефир, цельное молоко, алкоголь, крепкий кофе.
Последствия и осложнения
При воспалительном процессе возникает риск заражения тканей поджелудочной железы патогенными бактериями. Последствием их жизнедеятельности будет некроз тканей поджелудочной железы и образованием абсцессов. Дополнением воспалительного процесса может стать шоковое состояние. Сочетание таких осложнений при отсутствии адекватной терапии создает угрозу для жизни пациента.
Осложнения:
- псевдокисты;
- фиброзно-гнойный перитонит;
- парапанкреатический инфильтрат;
- аррозивные кровотечения;
- септический шок;
- асцит (брюшная водянка).
Прием лекарственных препаратов
Стандарт оказания медицинской помощи исключает применение лекарственных препаратов, так как подобные действия могут «смазать» клиническую картину и навредить больному.
Лекарственными препаратами, помогающими снизить воспаление железы и боли, являются нош-па или дротаверин. Введение препарата лучше внутримышечно, избегая пищеварительного тракта. Но при отсутствии такой возможности пейте таблетку, предварительно растолочь в ложке.
При появлении панкреатической симптоматики необходимо знать об общих действиях в условиях стационара:
- прием спазмолитиков сопровождается введением раствора атропина;
- отток желчи чаще сопутствует симптомам «острого живота», поэтому целесообразно принять Аллохол 2 таблетки.
Профилактика
Первичная профилактика острого панкреатита заключается в соблюдении правил здорового образа жизни. В рационе должно присутствовать минимальное количество жирной, жареной и острой пищи (рекомендуется полностью отказываться от таких блюд). Курение и употребление алкогольных напитков повышают риск заболеваний пищеварительной системы. Приступ острого панкреатита провоцируется перечисленными факторами. Данные правила относятся не только к первичной, но и вторичной профилактике патологии.
Меры профилактики:
- соблюдение правил здорового питания (исключаются вредные продукты, переедания и нерегулярное употребление пищи);
- организм должен получать достаточные физические нагрузки (если трудовая деятельность подразумевает сидячий образ жизни, то по утрам рекомендуется делать элементарные комплексы зарядок);
- контроль веса (резкое похудение, избыточный вес могут стать причиной отклонений в работе системы пищеварения);
- своевременная диагностика и лечение любых симптомов нарушения работы пищеварительного тракта (если заболевания ЖКТ выявлены, то осмотры у гастроэнтеролога должны осуществляться минимум один раз в полгода);
- исключение злоупотребления алкоголем, курением и другим вредными привычками.
Прогноз
Прогнозы при остром панкреатите зависят от стадии воспаления и наличия осложнений. Если заболевание было выявлено на ранних этапах развития, а терапия проводилась своевременно и полноценно, то у пациента имеются шансы на полное выздоровление. При проявлении осложнений (особенно при некротических поражениях тканей поджелудочной железы) повышается риск летального исхода. Терапия в таких случаях должна проводиться как можно раньше и под контролем врача.
Видео на тему: Первые признаки панкреатита, которые нельзя игнорировать!
Специфика болезни
Приступ панкреатита очень болезненный. Он возникает в качестве отдельной патологии или в комплексе с другими болезнями органов пищеварения. Частыми причинами панкреатита являются патологии печени, желчного пузыря, сердца и сосудов. Эти болезни провоцируют активизацию ферментов поджелудочной железы, которые вызывают воспаление железы с последующим ее разрушением. Именно эти процессы и являются причиной развития острого панкреатита.
Причины, вызывающие приступ, разделяют на 2 группы.
Формы острого панкреатита проходят определенные периоды развития. Приступ начинается с острых проявлений. Их сменяет состояние покоя, после которого болезнь отступит или перейдет в хроническую форму. При этом острый панкреатит часто «возвращается» в виде повторного приступа.
В зависимости от силы проявления симптоматики выделяют 3 степени тяжести острой формы приступа.
Медикаментозное лечение пациентов при обострении хронической формы или остром проявлении недуга показано только в стационарных условиях. До приезда медиков можно только облегчить общее состояние пострадавшего. Отсутствие квалифицированной медицинской поддержки приведет к летальному исходу больного.
При первых признаках острого панкреатита вызывайте медиков! Симптомы приступа помогут провести догоспитальную диагностику. О своих выводах сообщите диспетчеру скорой помощи, детально рассказав о признаках патологии.
Вопрос-ответ
Какова тактика ведения больного с острым панкреатитом?
При остром панкреатите следует избегать применения сосудосуживающих препаратов. Нарушение функции почек, связанное с гиповолемией, устраняют интенсивной инфузионной терапией. Развитие острого тубулярного некроза требует проведения перитонеального диализа или гемодиализа.
Чем отличается острый панкреатит от панкреонекроза?
Панкреатит – это воспаление поджелудочной железы. Панкреонекроз же возникает как осложнение панкреатита. О нем говорят, когда имеют место некротические процессы, т. е. происходит разрушение и отмирание тканей железы, деструкционные процессы захватывают окружающие ткани.
Что такое острый интерстициальный (отечный) панкреатит?
Интерстициальный панкреатит характеризуется воспалительным отеком ткани поджелудочной железы вследствие попадания в интерстиций небольшого количества активных ферментов. Тогда как при панкреонекрозе возникают очаги деструкции ткани с развитием множественных кровоизлияний.
Советы
СОВЕТ №1
При подозрении на острый панкреатит важно немедленно вызвать скорую помощь. Не откладывайте обращение за медицинской помощью, так как своевременная диагностика и лечение могут спасти жизнь пациента.
СОВЕТ №2
Не давайте пациенту есть или пить, если у него наблюдаются симптомы острого панкреатита, такие как сильная боль в животе, тошнота или рвота. Это поможет избежать дополнительного раздражения поджелудочной железы и снизит риск осложнений.
СОВЕТ №3
Обеспечьте пациенту полный покой и комфортное положение. Лучше всего, если он будет лежать на боку с подогнутыми коленями, что может помочь уменьшить болевые ощущения.
СОВЕТ №4
При оказании первой помощи старайтесь не применять тепло на область живота, так как это может усугубить воспаление. Вместо этого, если возможно, используйте холодный компресс для облегчения боли.









